Từ ho, sốt thông thường đến viêm phổi hoại tử trong 6 ngày
Bệnh viện Đa khoa (BVĐK) Hồng Ngọc cơ sở Yên Ninh tiếp nhận bệnh nhi N.P (2 tuổi) trong tình trạng ho đờm nặng tiếng, sốt cao liên tục trên 39 độ C kèm rét run, nổi vân tím và bỏ ăn kéo dài suốt 6 ngày. Trẻ mệt, thở nhanh 48 lần/phút, thông khí phổi phải giảm so với phổi trái, gõ đục vùng đáy phổi phải.
Qua khai thác tiền sử, bé chỉ có biểu hiện ho và sốt nhẹ trong ngày đầu khởi phát. Gia đình đưa trẻ đến phòng khám gần nhà và điều trị ngoại trú với chẩn đoán viêm thanh khí phế quản và viêm tai giữa cấp do RSV. Tuy nhiên, các triệu chứng không thuyên giảm mà tiến triển nhanh chóng.
Tại BVĐK Hồng Ngọc, bé N.P được đánh giá nhanh ngay khi nhập viện và xác định đang ở tình trạng nặng: Suy hô hấp, viêm phổi nặng và nguy cơ nhiễm khuẩn huyết. Bé được hỗ trợ thở oxy và ổn định hô hấp, tuần hoàn trong thời gian ngắn, đồng thời được chỉ định kháng sinh và theo dõi liên tục các chỉ số sinh tồn tại phòng cấp cứu.
Trong quá trình theo dõi sát sao, các bác sĩ kịp thời ghi nhận bệnh nhi có dấu hiệu chuyển biến xấu và phức tạp, bao gồm da tái, nhịp thở tăng, rút lõm lồng ngực và SpO₂ giảm còn 92-93%.
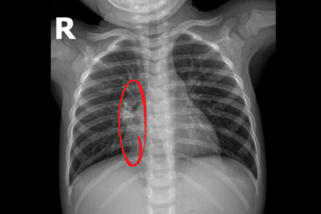
Các kết quả cận lâm sàng được thực hiện ngay sau đó cho thấy tổn thương phổi nghiêm trọng, chụp CT và siêu âm lồng ngực ghi nhận hình ảnh viêm phổi hoại tử với ổ tổn thương kích thước 40 x 42 x 20mm, chiếm khoảng 1/4 phổi phải; tràn dịch màng phổi hai bên dày khoảng 11mm và xẹp hoàn toàn hai thùy dưới của phổi. Nội soi tai mũi họng ghi nhận viêm tai giữa ứ mủ hai bên. Xét nghiệm vi sinh cho kết quả dương tính với RSV và phế cầu.
Kết quả CT và siêu âm ngực cho thấy bé N.P bị hoại tử phổi phải kích thước 40 × 42 × 20mm kèm tràn dịch màng phổi hai bên, dày 11mm (Ảnh: BVCC).
BS.CKI Trần Thu Trang – Phó khoa Nhi, BVĐK Hồng Ngọc cơ sở Yên Ninh, người trực tiếp điều trị cho bé N.P, chia sẻ: “N.P được chẩn đoán suy hô hấp, viêm phổi hoại tử phế cầu, RSV dương tính kèm viêm tai giữa ứ mủ hai bên. Đây là mức độ tổn thương rất nghiêm trọng đối với một trẻ mới 2 tuổi. Vùng tổn thương hoại tử lan rộng, tiến triển nhanh, các dấu hiệu nhiễm trùng nặng và nguy cơ nhiễm trùng huyết”.
Hồi phục ngoạn mục, bảo tồn phổi phải
Trước diễn biến nặng của bệnh nhi, các bác sĩ phải nhanh chóng xây dựng phác đồ kháng sinh phù hợp nhằm bao phủ toàn diện các căn nguyên gây bệnh.
Bác sĩ Trang chia sẻ: “Ngay từ khi tiếp nhận, ê-kíp duy trì theo dõi liên tục và đánh giá đáp ứng điều trị theo từng giai đoạn để kịp thời điều chỉnh phác đồ nội khoa. Mục tiêu là kiểm soát ổ viêm sâu, ngăn hoại tử lan rộng và hạn chế tối đa biến chứng. Việc lựa chọn kháng sinh cũng được cân nhắc thận trọng để đảm bảo tác động đúng vào tác nhân gây bệnh”.
Song song với đó, bé N.P được hỗ trợ liệu pháp hô hấp, điều chỉnh cân bằng dịch – điện giải và bổ sung dinh dưỡng tĩnh mạch để nâng cao sức đề kháng và cải thiện thể trạng. Nhờ vậy, bệnh nhi không phải can thiệp ngoại khoa như dẫn lưu hay cắt bỏ phần phổi tổn thương. Toàn bộ quá trình điều trị đòi hỏi sự phối hợp chặt chẽ, liên tục và chính xác giữa đội ngũ bác sĩ, điều dưỡng, cùng sự hợp tác từ gia đình bệnh nhi.
Rất may mắn, nhờ được điều trị và chăm sóc tích cực, bé N.P đáp ứng phác đồ. Sau 2 ngày, bé được cai thở oxy, tự thở ổn định. Sau 5 ngày, bé hết sốt, phổi hết ran, ho giảm, chơi ngoan, ăn tốt hơn. Đến ngày 15, hình ảnh phổi cải thiện rõ, vùng hoại tử hồi phục, da môi hồng hào, hô hấp bình thường. Bé N.P được xuất viện trong tình trạng ổn định, tái khám định kỳ để theo dõi chức năng hô hấp.
Sau 15 ngày điều trị, vùng hoại tử ở phổi phải của bé được hồi phục (Ảnh: BVCC).
Bác sĩ Trang cũng nhấn mạnh, viêm phổi hoại tử là một thể nặng của bệnh lý phổi, đặc trưng bởi sự hình thành các hang nhỏ, áp-xe nhỏ (dưới 2cm) trong nhu mô phổi. Nếu xử trí chậm trễ, hoại tử có thể lan rộng, dẫn đến sốc nhiễm khuẩn, đông máu nội mạch lan tỏa, suy thận cấp, rối loạn điện giải và hội chứng suy hô hấp cấp tiến triển (ARDS). Ngoài ra, trẻ còn có thể gặp các biến chứng như tràn dịch hoặc tràn mủ màng phổi, tràn khí màng phổi, kén khí hay dò phế quản – màng phổi.
“Phụ huynh không được chủ quan khi trẻ ho, sốt kéo dài, thở nhanh, bỏ ăn hoặc mệt lả bất thường. Việc đưa trẻ thăm khám sớm và theo dõi y tế chặt chẽ giúp bác sĩ kịp thời chẩn đoán giai đoạn đầu, ngăn ngừa biến chứng nặng như hoại tử, bảo tồn tối đa chức năng phổi cho trẻ”, bác sĩ Trang khuyến cáo.
Nguồn: https://dantri.com.vn/suc-khoe/be-gai-2-tuoi-viem-phoi-hoai-tu-sau-6-ngay-ho-sot-20251124220300809.htm

