
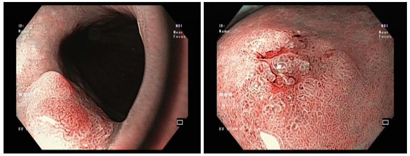
Thông qua hình ảnh nội soi ống tiêu hóa, bác sĩ phát hiện 2 tổn thương trong dạ dày, nghi ngờ ung thư ở giai đoạn sớm – Ảnh: BVCC
Phát hiện khi vẫn còn ở giai đoạn sớm
Vừa qua, Đơn vị nội soi, Bệnh viện Hoàn Mỹ Sài Gòn đã tiếp nhận và điều trị thành công cho người bệnh N.T.Đ. (65 tuổi, ngụ tại Đồng Nai). Người bệnh có tiền sử bị đầy bụng, khó tiêu kéo dài.
Khi đến thăm khám tại bệnh viện, bác sĩ chuyên khoa tiêu hóa đã chỉ định nội soi tiêu hóa kết hợp chụp cắt lớp vi tính (MSCT) bụng để có đánh giá toàn diện.
Kết quả nội soi phát hiện hai tổn thương bất thường tại dạ dày. Mẫu mô sinh thiết được lấy trong lúc nội soi và gửi đi xét nghiệm giải phẫu bệnh cho kết quả là nghịch sản tuyến độ cao (high-grade dysplasia).
BS.CKI Cao Văn Viễn, Đơn vị nội soi tiêu hóa, cho biết: “Nghịch sản độ cao là một dạng tổn thương tiền ung thư nghiêm trọng. Các tế bào đã có những biến đổi bất thường rõ rệt và có nguy cơ rất cao sẽ tiến triển thành ung thư xâm lấn nếu không được loại bỏ kịp thời. May mắn cho trường hợp của bà Đ., các tổn thương được phát hiện khi vẫn còn ở giai đoạn sớm.
Đây là những tổn thương được phát hiện ở giai đoạn mà các tế bào bất thường vẫn còn khu trú hoàn toàn ở lớp bề mặt (niêm mạc), chưa xâm lấn qua màng đáy để đi vào các lớp sâu hơn chứa mạch máu và bạch huyết. Việc phát hiện ung thư ở giai đoạn sớm giúp nâng cao đáng kể khả năng điều trị khỏi hoàn toàn”.
Phương pháp điều trị an toàn
Sau khi hội chẩn và đánh giá kỹ lưỡng, các bác sĩ đã quyết định thực hiện kỹ thuật Cắt tách dưới niêm mạc (ESD) – một phương pháp điều trị an toàn cho mọi lứa tuổi, đặc biệt là người cao tuổi.
Sau khi thực hiện, toàn bộ vùng niêm mạc chứa tế bào bất thường đã được bóc tách và lấy ra trọn vẹn, bảo toàn nguyên vẹn dạ dày và chức năng tiêu hóa. Người bệnh hồi phục nhanh chóng, có thể ăn uống nhẹ nhàng vào ngày hôm sau và xuất viện sau 2 ngày theo dõi.

BS.CKI Cao Hùng Phong – Trưởng Đơn vị nội soi, thăm khám cho người bệnh trước khi xuất viện – Ảnh: BVCC
Theo thống kê của GLOBOCAN 2022, ung thư dạ dày là một trong những loại ung thư phổ biến hàng đầu tại Việt Nam. Ung thư dạ dày đứng thứ 5 về số ca mắc mới (16.277 ca) và thứ ba về số ca tử vong (13.264 ca) trong các loại ung thư tại Việt Nam. Tiên lượng của bệnh phụ thuộc chặt chẽ vào giai đoạn phát hiện.
BS.CKI Cao Hùng Phong, Trưởng Đơn vị nội soi tiêu hóa, Bệnh viện Hoàn Mỹ Sài Gòn, cho biết: ‘Ung thư dạ dày được chia thành nhiều giai đoạn. Nếu được phát hiện ở giai đoạn sớm (giai đoạn 0, giai đoạn 1), khi khối u còn khu trú ở lớp niêm mạc, hoặc một phần của lớp dưới niêm mạc, tỉ lệ sống sau 5 năm có thể đạt trên 90%.
Tuy nhiên, khi bệnh tiến triển đến giai đoạn 2-3, con số này giảm xuống còn khoảng 20-50%, và ở giai đoạn 4 (di căn xa), tiên lượng rất dè dặt, thường dưới 10%. Điều này nhấn mạnh vai trò quyết định của việc chẩn đoán sớm và điều trị kịp thời’.
Đơn vị nội soi, Bệnh viện Hoàn Mỹ Sài Gòn đã triển khai kỹ thuật cắt tách dưới niêm mạc qua nội soi (ESD) từ năm 2019, đến nay hoàn toàn làm chủ kỹ thuật này và điều trị thành công cho hàng chục ca mỗi năm, giúp cho nhiều người bệnh hồi phục sức khỏe nhanh chóng, bảo tồn được toàn bộ dạ dày đồng thời điều trị dứt điểm tế bào ung thư.
Bên cạnh đội ngũ bác sĩ giỏi chuyên môn và giàu kinh nghiệm, bệnh viện đầu tư mạnh mẽ vào các công nghệ tầm soát tiên tiến như hệ thống nội soi Olympus EVIS X1 và Pentax thế hệ mới có khả năng cung cấp hình ảnh nội soi độ phân giải cao (4k/Full HD), kết hợp công nghệ nhuộm màu quang học (NBI, i-Scan), công nghệ tăng cường hình ảnh TXI, RDI và phóng đại, giúp phát hiện những tổn thương phẳng, nhỏ nhất.
Bên cạnh đó, việc tích hợp trí tuệ nhân tạo (Endo-AID): Hệ thống AI hoạt động như ‘con mắt thứ hai’ hỗ trợ bác sĩ khoanh vùng các tổn thương nghi ngờ, tăng độ chính xác trong nội soi tầm soát.
Việc tầm soát chủ động thông qua nội soi định kỳ là phương pháp duy nhất giúp phát hiện các tổn thương tiền ung thư và ung thư giai đoạn sớm. Đây chính là tiền đề quan trọng nhất để có thể áp dụng các kỹ thuật điều trị hiện đại, ít xâm lấn như ESD, mang lại cơ hội chữa khỏi bệnh hoàn toàn cho người bệnh.
Đọc tiếp
Về trang Chủ đề
Nguồn: https://tuoitre.vn/cat-tach-qua-noi-soi-esd-giai-phap-an-toan-khong-can-phau-thuat-20251113210659252.htm

