Thứ hai, Tháng ba 16, 2026
HomeSức KhỏeCắt xương thừa ở gót chân

Cắt xương thừa ở gót chân

Hà NộiAnh Tuấn, 42 tuổi, bị đau gót chân do chồi xương, được bác sĩ phẫu thuật cắt bỏ.

Nửa năm trước, anh Tuấn bị đau nhói gót chân phải, cứng khớp sau khi nằm hoặc ngồi lâu, phải xoay cổ chân vài phút mới vận động lại. Là vận động viên marathon phong trào, anh giảm tập, điều trị nội khoa và vật lý trị liệu thì đỡ, nhưng khi tăng quãng đường chạy, cơn đau lại tái phát

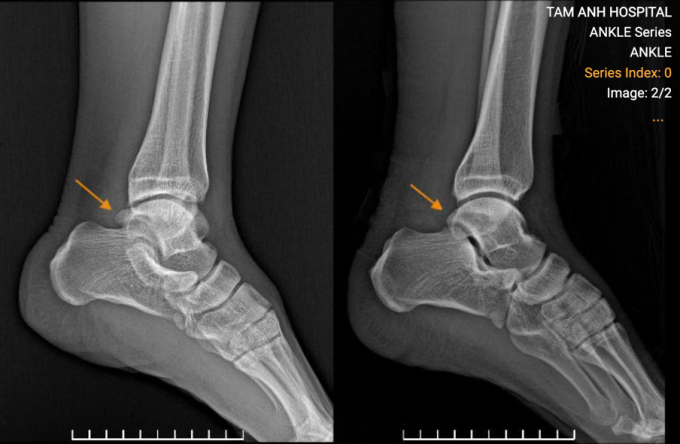
ThS.BS Nguyễn Quang Tôn Quyền, Phó khoa Chấn thương Chỉnh hình, Bệnh viện Đa khoa Tâm Anh Hà Nội, cho biết gót chân phải anh Tuấn có một xương phụ nhỏ gọi là Os Trigonum, gây hội chứng cấn mặt sau cổ chân. Đây là một xương phụ nhỏ bẩm sinh nằm ở gót chân, phía sau xương sên, chỉ xuất hiện ở một tỷ lệ nhỏ dân số. Xương thừa này không có chức năng, giống ruột thừa, bình thường không gây triệu chứng.

Người vận động gót chân nhiều như vận động viên marathon, bóng đá, vũ công balê… có thể bị đau khi xương thừa cọ xát liên tục vào gân và bao khớp sau cổ chân, gây bắt chẹn, chèn ép khoang sên gót.

Xương thừa (chồi xương) ở gót chân anh Tuấn (bên trái) sau khi được nội soi cắt bỏ (bên phải). Ảnh: Bệnh viện Đa khoa Tâm Anh

Xương thừa (chồi xương) ở gót chân anh Tuấn (bên trái) sau khi được nội soi cắt bỏ (bên phải). Ảnh: Bệnh viện Đa khoa Tâm Anh

Để chữa dứt điểm bệnh, giúp anh Tuấn quay lại thể thao, bác sĩ Quyền chỉ định phẫu thuật nội soi. Trong 30 phút, anh được gây tê tủy sống, bác sĩ rạch hai lỗ nhỏ sau gót chân, đưa dụng cụ nội soi vào cắt lọc mô viêm, cắt bỏ chồi xương.

Ca mổ xâm lấn tối thiểu, thể chất anh Tuấn không bị ảnh hưởng. Anh đeo nẹp cổ chân trong 2 tuần đầu, đi lại nhẹ nhàng, được kỹ thuật viên vật lý trị liệu hướng dẫn tập phục hồi chức năng theo phác đồ chuyên sâu y học thể thao để tránh teo cơ, lệch cơ một bên chân trong thời gian giảm vận động.

Sau một tháng, anh Tuấn đi lại bình thường. Trở lại chạy bộ sau ba tháng, không còn thấy đau gót chân, sức cơ hai chân không chênh lệch đáng kể. Anh tiếp tục tập phục hồi chức năng chuyên sâu để khôi phục tối đa phong độ và thành tích chạy bộ.

Chuyên gia vật lý trị liệu đo sức mạnh cơ chân cho anh Tuấn bằng máy chuyên dụng. Ảnh: Bệnh viện Đa khoa Tâm Anh

Chuyên gia vật lý trị liệu đo sức mạnh cơ chân cho anh Tuấn bằng máy chuyên dụng. Ảnh: Bệnh viện Đa khoa Tâm Anh

Bác sĩ Quyền lưu ý hội chứng cấn mặt sau cổ chân do xương phụ Os Trigonum hay bị nhầm lẫn với các tình trạng viêm gót chân như viêm gân Achilles, ít gặp hơn dễ bị bỏ sót nếu không thăm khám kỹ. Ở người lớn tuổi, bệnh này thường liên quan đến thoái hóa khớp cổ chân, gân và bao khớp gây đau âm ỉ, viêm mạn tính. Ở người trẻ, hoạt động quá nhiều khớp cổ chân gây vi chấn thương lặp đi lặp lại là nguyên nhân chính gây hội chứng Os Trigonum.

Tùy nhu cầu vận động, bác sĩ chỉ định phương pháp cá thể hóa cho người bệnh, bao gồm điều trị bảo tồn bằng thuốc, vật lý trị liệu hoặc phẫu thuật khi các phương pháp khác thất bại. Vận động viên có nhu cầu vận động lớn, cạnh tranh, thi đấu đỉnh cao cần phác đồ chuyên biệt, sau phẫu thuật kết hợp vật lý trị liệu, phục hồi chức năng thể thao chuyên sâu.

Bác sĩ Quyền khuyến cáo khi thấy đau sau cổ chân kéo dài, tăng khi chạy nhiều, kiễng chân, gập bàn chân hết tầm, lên xuống dốc hoặc cầu thang, vận động viên chạy bộ nên nghỉ ngơi, đến bệnh viện chuyên khoa sâu về y học thể thao để được khám, điều trị hiệu quả.

Thanh Long

Nguồn: https://vnexpress.net/cat-xuong-thua-o-got-chan-5051047.html

VnExpress Logo

Hello Mình là Cải

Theo dõi
Thông báo của
0 Góp ý
Mới nhất
Cũ nhất Được bỏ phiếu nhiều nhất
Phản hồi nội tuyến
Xem tất cả bình luận

Tin Nóng Hôm Nay