Hà NộiTừ biểu hiện hắt hơi, sổ mũi thông thường, nam thanh niên 25 tuổi rơi vào hôn mê, nguy cơ tử vong cao do biến chứng viêm tắc tĩnh mạch xoang hang.
Ngày 12/11, Trung tâm Cấp cứu A9, Bệnh viện Bạch Mai tiếp nhận bệnh nhân trong tình trạng mê man, sốt cao, không tự chủ tiểu tiện. Trước đó hơn hai tuần, anh chỉ bị ngạt mũi, sổ mũi và đau đầu nhẹ, đã đi khám và được kê kháng sinh uống nhưng không thuyên giảm.
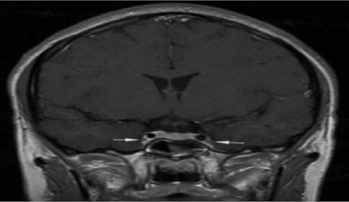
Tiến sĩ Nguyễn Hữu Quân, Trung tâm Cấp cứu A9, cho biết bệnh nhân khởi phát từ viêm xoang cấp có mủ, sau đó nhiễm trùng lan rộng gây viêm tấy nửa mặt, nhanh chóng dẫn đến rối loạn ý thức, co giật. Kết quả chụp cộng hưởng từ sọ não cho thấy hình ảnh phù nề lan tỏa, một dấu hiệu điển hình của viêm tắc tĩnh mạch xoang hang – tình trạng huyết khối nhiễm trùng hiếm gặp ở nền sọ.
“Dù được cấp cứu tích cực bằng kháng sinh phổ rộng, thuốc chống phù não và thở máy, tiên lượng bệnh nhân vẫn rất nặng, nguy cơ tử vong cao do nhiễm trùng đã lan vào não, màng não và các mạch máu lớn”, bác sĩ Quân nói.
Vị trí mũi tên là viêm và co thắt động mạch cảnh trong 2 bên. Ảnh: Bệnh viện cung cấp
Xoang hang là một hệ thống tĩnh mạch phức tạp nằm sâu trong nền sọ, có chức năng dẫn lưu máu từ vùng mặt và liên quan đến nhiều dây thần kinh thị giác, vận nhãn. Khi khu vực này bị viêm tắc, vi khuẩn có thể gây lồi mắt, liệt dây thần kinh, giảm thị lực, thậm chí gây viêm màng não mủ, nhồi máu não và tử vong. Tỷ lệ tử vong của bệnh này lên tới 30% và một phần ba số người sống sót phải chịu di chứng nặng nề như mù lòa hoặc liệt mặt.
Theo các chuyên gia, bệnh thường khởi phát sau 5-10 ngày từ một nhiễm trùng ở mặt, chẳng hạn nhọt ở vùng mũi, môi hoặc viêm xoang, viêm răng. Bệnh diễn tiến rất nhanh và có thể cướp đi sinh mạng chỉ trong vài ngày nếu không được can thiệp đúng cách.
Bác sĩ khuyến cáo người dân cần đến ngay cơ sở y tế khi xuất hiện các triệu chứng cảnh báo sớm của viêm tắc tĩnh mạch xoang hang. Các dấu hiệu này bao gồm đau đầu dữ dội kèm sốt cao không rõ nguyên nhân; sưng đỏ quanh mắt, lồi mắt, sụp mi, nhìn đôi (song thị). Đặc biệt, nếu tình trạng sưng phù lan nhanh sang mắt còn lại trong vòng 24-48 giờ thì khả năng cao là dấu hiệu của bệnh lý nguy hiểm này.
Để phòng ngừa, người dân không nên tự ý nặn mụn, nhọt ở vùng “tam giác nguy hiểm” trên mặt (khu vực quanh mũi và môi trên), vì đây là vùng có hệ thống mạch máu thông trực tiếp với xoang hang trong não. Cần điều trị dứt điểm các bệnh nhiễm trùng tai mũi họng, răng miệng và không tự ý dùng thuốc khi có biểu hiện đau đầu, sưng mặt hoặc sốt cao kéo dài.
“Đây là một căn bệnh thầm lặng nhưng cực kỳ tàn khốc. Một cơn đau đầu hay một nốt mụn nhỏ đôi khi lại là tín hiệu khởi đầu cho một cuộc đua sinh tử. Người dân cần đến bệnh viện ngay khi có triệu chứng bất thường để được chẩn đoán và điều trị kịp thời”, bác sĩ Quân nhấn mạnh.
Lê Nga
Nguồn: https://vnexpress.net/chang-trai-hon-me-nguy-kich-sau-vai-ngay-so-mui-4962890.html

