TP HCMBà Tuyết, 65 tuổi, hụt hơi, nặng ngực, khó thở hơn một tháng, bác sĩ xác định có cục máu đông gây thuyên tắc phổi.
BS.CKI Phạm Đức Long, khoa Cấp cứu, Phòng khám Đa khoa Tâm Anh Quận 7, cho biết người bệnh có chỉ số D-dimer tăng cao đến 8,87 µg/mL, tức vượt 18 lần ngưỡng bình thường (
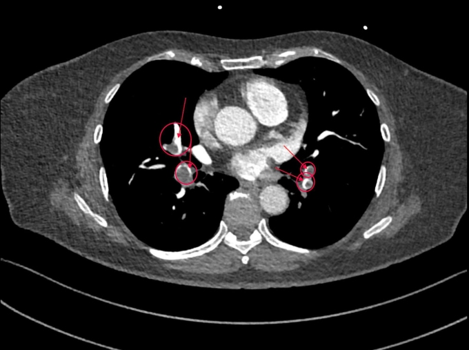
Kỹ thuật Triple Rule Out được thực hiện dưới sự hỗ trợ của hệ thống máy CT Somatom Force VB30 phát hiện huyết khối xuất hiện ở nhiều nhánh động mạch phổi (khoanh đỏ). Ảnh: Bệnh viện Đa khoa Tâm Anh
Bác sĩ Long giải thích kỹ thuật Triple Rule Out thường được áp dụng trong trường hợp người bệnh có biểu hiện khó thở, đau ngực không điển hình. Phương pháp này cho phép loại trừ nhanh những nguyên nhân nguy hiểm như nhồi máu cơ tim, bóc tách động mạch chủ, phát hiện huyết khối thuyên tắc phổi để can thiệp phù hợp.
Bác sĩ chẩn đoán bà Tuyết bị thuyên tắc phổi cấp. Đây là tình trạng huyết khối (thường xuất phát từ hệ tĩnh mạch) di chuyển theo máu lên phổi, gây tắc động mạch phổi. Khi dòng máu đến phổi bị cản trở, ảnh hướng quá trình trao đổi oxy dẫn đến biểu hiện phổ biến như khó thở, hụt hơi, mệt bất thường. Trường hợp nặng, bệnh có thể gây suy hô hấp, rối loạn huyết động, thậm chí đột tử.
Theo bác sĩ Long, triệu chứng thuyên tắc phổi không biểu hiện rầm rộ nên dễ nhầm lẫn với các bệnh lý hô hấp thông thường. Nhiều người chỉ có cảm giác hụt hơi nhẹ, mệt kéo dài, đặc biệt ở người lớn tuổi, thường kèm nhiều bệnh lý nền như bà Tuyết.
Người bệnh được chuyển đến Bệnh viện Đa khoa Tâm Anh TP HCM điều trị. ThS.BS Trần Hữu Danh, khoa Nội tim mạch, Trung tâm Tim mạch, cho biết bệnh nhân mệt nhiều, nói chuyện đứt quãng, ho, không có yếu tố nguy cơ gây huyết khối, không mắc hội chứng tăng đông. Bác sĩ điều trị phối hợp thuốc kháng đông để ngăn hình thành thêm huyết khối, kháng sinh trị viêm phổi, thuốc điều trị tích cực bệnh nền như tăng huyết áp, đái tháo đường, rối loạn lipid máu. Bà giảm ho, khả năng gắng sức cải thiện, xuất viện sau 10 ngày.
Sức khỏe bà Tuyết ổn định, tình trạng hụt hơi, khó thở được cải thiện. Ảnh: Bệnh viện Đa khoa Tâm Anh
Bác sĩ Danh cho biết thuyên tắc phổi có nguy cơ gây đột tử nếu không phát hiện kịp thời. Tuy nhiên, bệnh có thể được kiểm soát nếu chẩn đoán sớm và điều trị đúng. Bác sĩ khuyến cáo người bệnh nên đi khám ngay nếu khó thở kéo dài, mệt bất thường, hụt hơi khi sinh hoạt… để xác định nguyên nhân.
Những người có yếu tố nguy cơ như tiền sử phẫu thuật, đặc biệt là phẫu thuật phụ khoa, vùng xương chậu và chân, nằm bất động dài ngày sau ca mổ, suy giãn tĩnh mạch chi dưới, mang thai hoặc trong vòng 6 tuần sau sinh, mắc hội chứng kháng thể kháng phospholipid, hút thuốc lá lâu năm… nên khám sức khỏe định kỳ.
Nhật Thành – Thu Hà
*Tên người bệnh đã được thay đổi
| Độc giả gửi câu hỏi về tim mạch tại đây để bác sĩ giải đáp |
Nguồn: https://vnexpress.net/cuc-mau-dong-am-tham-gay-tac-dong-mach-phoi-5049401.html

