TP HCMChị Mai, 28 tuổi, đau đầu dữ dội vùng thái dương bên trái khoảng ba ngày, bác sĩ phát hiện đột quỵ thể huyết khối tĩnh mạch nội sọ.
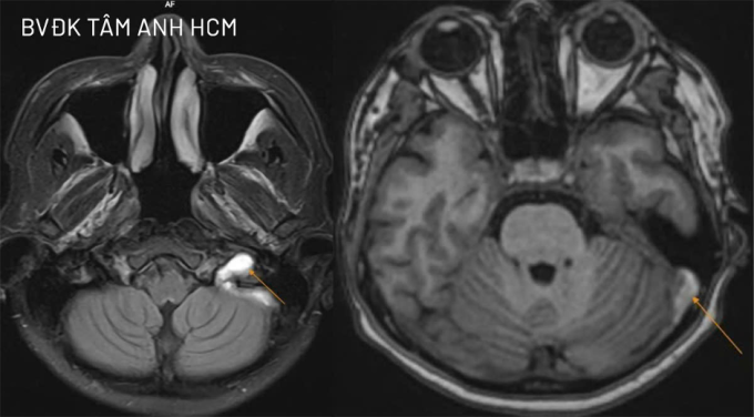
BS.CKI Cao Hoàng Trọng, Khoa Thần kinh, Trung tâm Khoa học Thần kinh, Bệnh viện Đa khoa Tâm Anh TP HCM, cho biết chị Mai tỉnh táo, không nói đớ, không yếu liệt tay chân, không co giật. Kết quả chụp MRI 3 Tesla khảo sát mạch máu não người bệnh cho thấy cục máu khối hình thành ở tĩnh mạch cảnh trong bên trái, làm tắc nghẽn dòng máu tại đoạn hành. Huyết khối đang ở giai đoạn bán cấp và đã lan lên xoang sigma, một phần xoang ngang bên trái.
“Người bệnh đang bị đột quỵ”, bác sĩ Trọng nhận định, thêm rằng huyết khối tĩnh mạch nội sọ là tình trạng cục máu đông hình thành trong hệ thống tĩnh mạch dẫn lưu máu từ não về tim. Khác với đột quỵ do tắc động mạch (thiếu máu não cấp), thể bệnh này gây cản trở dòng máu tĩnh mạch thoát ra khỏi não.
Ảnh MRI cho thấy cục huyết khối gây bít gần như hoàn toàn tĩnh mạch cảnh trong trái, lan các xoang tĩnh mạch lân cận. Ảnh: Bệnh viện Đa khoa Tâm Anh
Đột quỵ do huyết khối tĩnh mạch nội sọ dễ nhầm với đau đầu thông thường vì triệu chứng ban đầu không rõ ràng, chỉ biểu hiện đau đầu đơn thuần. Tuy nhiên, khi tĩnh mạch bị tắc, máu không thoát được sẽ ứ trệ trong nhu mô não, làm tăng áp lực nội sọ. Áp lực này khiến thành mạch giãn, rò rỉ hoặc vỡ, gây đột quỵ xuất huyết não thứ phát. Đồng thời, tình trạng ứ máu kéo dài làm giảm tưới máu mô não xung quanh, gây tổn thương tế bào thần kinh.
Theo bác sĩ Trọng, nếu người không can thiệp sớm, huyết khối có thể lan rộng, làm phù não tiến triển, co giật, rối loạn ý thức. Lúc này, tiên lượng nặng nề hơn, thời gian điều trị kéo dài, nguy cơ để lại di chứng cao.
Chị Mai được nhập viện điều trị kháng đông theo phác đồ, kết hợp theo dõi sát dấu hiệu thần kinh và kiểm soát áp lực nội sọ. Sau ba ngày, cơn đau đầu giảm dần, không xuất hiện thêm biến chứng. Người bệnh tiếp tục được theo dõi, dùng thuốc dài hạn nhằm tái thông dòng chảy tĩnh mạch, ngăn ngừa tái phát.
Bác sĩ Trọng đang kiểm tra vận động cho chị Mai trước khi xuất viện. Ảnh: Bệnh viện Đa khoa Tâm Anh
Bác sĩ Trọng cho biết đau đầu do huyết khối tĩnh mạch nội sọ thường có đặc điểm đau tăng dần theo ngày, liên tục, ít đáp ứng thuốc giảm đau thông thường. Một số trường hợp kèm buồn nôn, nhìn mờ, co giật hoặc yếu liệt chi. Trong khi đó, đau đầu do căng thẳng hoặc migraine thường xuất hiện theo từng cơn, thường có tiền triệu, đáp ứng phần nào với thuốc đặc hiệu.
Người bệnh nếu xuất hiện đau đầu dữ dội bất thường, tăng dần hoặc khác với những cơn đau trước đây, nên đi khám với bác sĩ chuyên khoa thần kinh để được kiểm tra, xác định nguyên nhân, điều trị kịp thời.
Trọng Nghĩa
*Tên nhân vật đã được thay đổi
Nguồn: https://vnexpress.net/dau-dau-do-dot-quy-the-huyet-khoi-tinh-mach-noi-so-5057444.html

