Cô gái tên L. dù đã 24 tuổi nhưng chỉ cao 1m40, nặng 32kg và chưa dậy thì, ngực không phát triển và chưa có kinh nguyệt. Nhìn L. như một cháu bé 10 tuổi, khác rõ rệt so với người cùng trang lứa.
Ban đầu, gia đình nghĩ L. phát triển muộn nên tăng cường bồi bổ. Mãi đến khi thấy cô dù đã trưởng thành nhưng vóc dáng vẫn không thay đổi, gia đình mới đưa L. đi khám.
Qua kiểm tra, TS.BS Lâm Văn Hoàng, Trưởng khoa Nội tiết – Đái tháo đường, bệnh viện ở TPHCM, nhận thấy cô gái có những bất thường đặc trưng của bệnh Turner, như thấp bé, cổ ngắn, ngực không phát triển.
Kết quả xét nghiệm và siêu âm cho thấy bệnh nhân có chỉ số hormone estrogen rất thấp, so với mức bình thường, suy buồng trứng, tử cung nhi hóa. Đây là tình trạng tử cung của người ở độ tuổi trưởng thành có kích thước nhỏ bất thường (dưới 30mm), tương tự như tử cung của trẻ em gái.
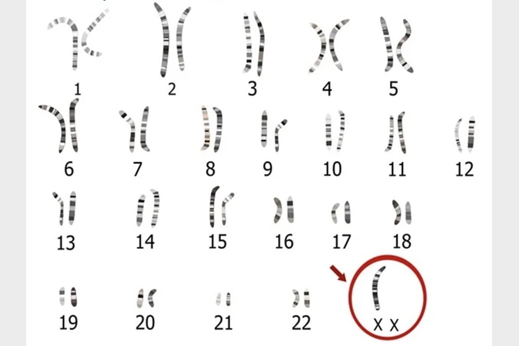
Từ kết quả xét nghiệm chuyên sâu về nhiễm sắc thể kết hợp các dấu hiệu, phía bệnh viện chẩn đoán xác định L. mắc hội chứng Turner, một dạng rối loạn nhiễm sắc thể giới tính.
Kết quả xét nghiệm nhiễm sắc thể xác định bệnh nhân mắc hội chứng Turner (Ảnh: BV).
Bác sĩ Hoàng phân tích, thông thường cơ thể nữ giới có hai nhiễm sắc thể X. Nhưng người mắc hội chứng Turner chỉ có một nhiễm sắc thể X, hoặc một phần nhiễm sắc thể X hoạt động, dẫn đến các vấn đề về phát triển thể chất và sinh sản.
Vì cô gái phát hiện bệnh ở giai đoạn đã trưởng thành nên không còn cơ hội phát triển chiều cao, cũng như việc thiếu hụt nội tiết tố nữ khiến bệnh nhân không phát triển tuyến vú và chức năng sinh dục.
Nếu không điều trị, bệnh nhân có thể gặp các biến chứng sớm như tim mạch, suy tim, tăng huyết áp, rối loạn nội tiết, mất thính giác, nhược thị, biến chứng ở thận, bất thường về xương, gặp khó khăn trong giao tiếp…
Nữ bệnh nhân được điều trị bằng cách bù đắp hormone estrogen và progesteron. Sau 3 tháng can thiệp, cô gái đã có kinh nguyệt nhưng khó có khả năng sinh sản, cần phải theo dõi sức khỏe thường xuyên để phòng ngừa các biến chứng.
Theo bác sĩ Hoàng, hội chứng Turner là dạng rối loạn nhiễm sắc thể chỉ xảy ra ở nữ giới, tỷ lệ 1/4.000, và không có tính di truyền. Đây là tình trạng xảy ra do một lỗi ngẫu nhiên trong quá trình phân chia tế bào thai nhi, dẫn đến sự thiếu hụt hoặc không đầy đủ nhiễm sắc thể X.
Các dấu hiệu và triệu chứng của hội chứng Turner ở mỗi người có thể khác nhau.
Đặc trưng chung là việc bệnh nhân thường có cổ sưng húp hoặc sưng tay chân khi mới sinh, vòm miệng cao và hẹp, ngực rộng và núm vú cách xa nhau, đường chân tóc thấp ở phía sau đầu, mí mắt trên sụp xuống, hàm dưới bị tụt hoặc nhỏ.
Ở độ tuổi dậy thì và trưởng thành, người bệnh có vóc dáng thấp, chiều cao trung bình chỉ khoảng 1,4m, tăng trưởng chậm, ngực không phát triển, không có kinh nguyệt hoặc chấm dứt chu kỳ kinh nguyệt sớm.
Hiện nay, chưa có phương pháp điều trị triệt để hội chứng Turner, vì bệnh xuất phát từ sự rối loạn di truyền ngẫu nhiên trong quá trình phân chia nhiễm sắc thể.
Giải pháp tầm soát hiệu quả nhất hiện nay là xét nghiệm sàng lọc trước sinh (như NIPT, Double Test, Triple Test) nhằm phát hiện sớm bất thường và can thiệp kịp thời.
“Nếu phát hiện sớm và điều trị đúng cách bằng hormone tăng trưởng, hormone sinh dục cùng việc theo dõi sức khỏe định kỳ, người bệnh vẫn có thể phát triển gần như bình thường và sống khỏe mạnh”, bác sĩ Hoàng khuyến cáo.
Nguồn: https://dantri.com.vn/suc-khoe/ky-la-co-gai-24-tuoi-van-chua-day-thi-vi-loi-ngau-nhien-cua-co-the-20251117132636294.htm

