TP HCMÔng Minh, 55 tuổi, phát hiện ung thư đại tràng giai đoạn sớm nhưng không điều trị mà uống thuốc nam, 6 tháng sau ung thư di căn gan.
Ông Minh đi ngoài bất thường từ tháng 11 năm ngoái. Nội soi đại tràng tại Bệnh viện Đa khoa Tâm Anh TP HCM, bác sĩ chẩn đoán ung thư đại tràng, loại biểu mô tuyến xâm nhập, giai đoạn hai, tư vấn phẫu thuật sau đó hóa trị nhưng ông từ chối.
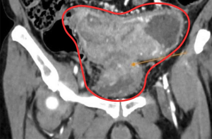
Ông về nhà uống thuốc nam theo liều lượng mỗi ngày ba bát thuốc sắc, kiêng ăn thịt. Táo bón ngày càng nặng hơn, ông sụt 15 kg, không ăn uống được, đau chướng bụng. 6 tháng sau, ông quay lại bệnh viện, chụp CT bụng ghi nhận khối u ác tính gây hẹp hoàn toàn lòng ruột dẫn đến ứ phân, dày thành bàng quang. Gan có hai tổn thương do u đại tràng di căn đến.
Ảnh chụp CT ghi nhận khối u ác tính gây hẹp lòng ruột, dày thành bàng quang bệnh nhân. Ảnh: Bệnh viện Đa khoa Tâm Anh
BS.CKII Nguyễn Trần Anh Thư, khoa Ung Bướu chẩn đoán ông Minh bị ung thư đại tràng sigma (đoạn ruột cuối cùng, có hình chữ S trước khi nối với trực tràng) giai đoạn 4, xâm lấn bàng quang, di căn gan. Ông Minh được phẫu thuật nội soi làm hậu môn nhân tạo, tiếp đến dùng thuốc trúng đích kết hợp hóa trị theo phác đồ FOLFOX (phối hợp ba loại thuốc).
“Nếu điều trị ngay ở giai đoạn trước đó, ông Minh chỉ cần phẫu thuật, có thể hóa trị hỗ trợ thêm với liều phù hợp là ổn định sức khỏe”, bác sĩ Anh Thư cho biết, thêm rằng sức khỏe ông suy kiệt, sức đề kháng kém khiến điều trị khó khăn. Người bệnh bị nhiễm trùng tiểu gây nhiễm trùng huyết, phải dùng kháng sinh 10 ngày trước khi đặt buồng tiêm dưới da để hóa trị. Tuy nhiên sau chu kỳ đầu tiên, nhiễm trùng tiểu tái phát, ông Minh tiếp tục sử dụng thuốc kháng sinh đến khi tình trạng nhiễm trùng ổn định mới hóa trị chu kỳ 2, 3, 4. Ông Minh ăn uống đầy đủ dinh dưỡng, không kiêng khem như trước, uống 2 lít nước mỗi ngày.
Sau ba tháng hóa trị, kết quả chụp CT thấy khối u giảm kích thước. Hiện, ông Minh ăn uống được, không đau bụng, hậu môn nhân tạo hoạt động tốt, hậu môn thật không chảy máu.
Bác sĩ Anh Thư cho hay các loại thuốc nam có thể được dùng kết hợp với hóa trị, xạ trị để ổn định tinh thần, cải thiện triệu chứng, nâng đỡ tổng trạng, giảm ảnh hưởng của tác dụng phụ… Tuy nhiên khi sử dụng thuốc, người bệnh cần tham khảo ý kiến bác sĩ điều trị, có thể kết hợp thuốc theo đơn của bác sĩ y học cổ truyền tư vấn.
Điều dưỡng truyền thuốc cho ông Minh. Ảnh: Bệnh viện Đa khoa Tâm Anh
Bệnh ung thư được điều trị đa mô thức (phối hợp nhiều phương pháp) như phẫu thuật, hóa trị, xạ trị, thuốc miễn dịch… vừa kiểm soát tại chỗ vừa khống chế di căn xa, giảm biến chứng. Phẫu thuật không làm tế bào ác tính lan khắp cơ thể.
Hóa trị là đưa thuốc hóa chất vào cơ thể để tiêu diệt và ngăn chặn tế bào ung thư phát triển. Thuốc ảnh hưởng đến cả tế bào ác tính và tế bào lành tính nên có thể gây tác dụng phụ như mệt mỏi, suy nhược cơ thể, buồn nôn, rụng tóc, mất vị giác, thiếu máu, xuất huyết… Tuy nhiên, các triệu chứng này có thể được kiểm soát bởi các loại thuốc hỗ trợ triệu chứng và giảm bớt các tác dụng phụ.
Bác sĩ Anh Thư khuyên người bệnh ung thư nên điều trị theo chỉ định của bác sĩ. Không tự ý dùng các loại lá cây, thuốc dân gian làm mất cơ hội chữa khỏi ở giai đoạn sớm. Khi bệnh tiến triển nặng, quá trình điều trị phức tạp, tốn kém, ảnh hưởng đến tâm lý, chất lượng cuộc sống.
Bảo Trâm
*Tên nhân vật đã được thay đổi
| Độc giả gửi câu hỏi về bệnh ung thư tại đây để bác sĩ giải đáp |
Nguồn: https://vnexpress.net/lo-co-hoi-chua-ung-thu-som-do-uong-thuoc-nam-4991407.html

