Hà NộiĐứt dây chằng nhưng không đau có thể khiến người bệnh tiếp tục vận động, làm tổn thương nặng hơn, mất cơ hội điều trị bảo tồn và phải phẫu thuật.
TS.BS Chế Đình Nghĩa, Phó trưởng khoa Chấn thương Chỉnh hình, Bệnh viện Đa khoa Tâm Anh Hà Nội, cho biết khác với nhiều bộ phận khác trên cơ thể, dây chằng gối có rất ít thụ thể cảm nhận đau (nociceptor) và chỉ tập trung ở điểm bám xương. Do đó, trừ khi bị lực tác động rất mạnh làm đứt dây chằng kèm rách sụn chêm, tổn thương góc sau ngoài, xé rách nhiều cấu trúc khác của khớp chứa nhiều nociceptor hơn, bệnh nhân mới thấy đau rõ rệt.
Trong trường hợp đứt dây chằng đơn độc, người bệnh chỉ nghe một tiếng “pắc”, thấy nhói gối ngay tại thời điểm đó, sau có thể đứng dậy ngay, đi lại, sinh hoạt bình thường, thậm chí tiếp tục chơi thể thao mà không đau. Điều này rất nguy hại cho khớp gối vì theo nguyên tắc chấn thương, dây chằng cần ngừng vận động và nghỉ ngơi ngay. Tiếp tục sử dụng lực lên khớp gối khiến dây chằng tổn thương nhiều hơn, có thể dẫn đến chấn thương thứ cấp như rách sụn chêm, đứt hoàn toàn dây chằng, phải phẫu thuật tái tạo nếu không sẽ thoái hóa khớp sớm.
Đứt dây chằng đơn độc không gây đau rõ rệt và thường không liên quan đến lực tác động mạnh. Tổn thương xảy ra khi gối bị xoay hoặc lệch quá mức so với chuyển động bình thường như đổi hướng đột ngột, hãm lại khi chạy hoặc tiếp đất sai tư thế. Những tình huống này thường gặp trong thể thao, đặc biệt khi đối kháng, vì hormone adrenaline, dopamine và endorphin tăng tạm thời che lấp cảm giác đau, khiến chấn thương khó phát hiện.
Như anh Giang, 45 tuổi, bị ngã cầu thang, chỉ thấy nhói nhẹ ở khớp gối phải, đứng dậy đi lại được, sinh hoạt, lái xe, làm việc bình thường. Một tuần sau, anh mới cảm thấy gối lỏng, dáng đi mất vững nên đến Bệnh viện Đa khoa Tâm Anh Hà Nội khám.
Tiến sĩ Nghĩa khám cho bệnh nhân Giang. Ảnh: Bệnh viện Đa khoa Tâm Anh
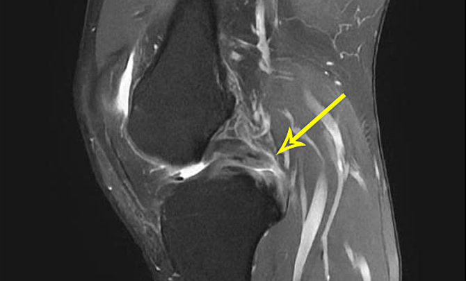
Bác sĩ Nghĩa phát hiện xương chày anh Giang tụt ra sau so với đùi, chỉ định chụp cộng hưởng từ MRI ghi nhận dây chằng chéo sau mất hoàn toàn tín hiệu. Bác sĩ chẩn đoán bệnh nhân đứt hoàn toàn dây chằng chéo sau độ ba.
Thông thường, đứt dây chằng chéo sau có thể điều trị bằng cách nghỉ ngơi, nẹp bất động gối. Bệnh nhân đi nạng để kiêng vận động khoảng 6 tuần có thể giúp dây chằng chéo sau tự lành. Song anh Giang phát hiện tổn thương quá muộn, không kiêng vận động vì không thấy đau nên dây chằng chéo sau đã đứt hoàn toàn, kèm rách sụn chêm. Bệnh nhân trẻ tuổi, nhu cầu vận động cao nên phải phẫu thuật để khôi phục hiệu quả chức năng khớp gối.
Phim MRI cho thấy dây chằng chéo sau của anh Giang đứt hoàn toàn. Ảnh: Bệnh viện Đa khoa Tâm Anh
Tương tự, chị Ngãi, 41 tuổi, vận động viên pickleball bán chuyên. Tại một giải đấu, chị thi đấu cường độ cao liên tục, thấy mỏi gối nên đăng ký chăm sóc y tế. Khi trị liệu điện xung giãn cơ, chị Ngãi nằm ngửa, gối gập 90 độ. ThS.BS Vũ Trung Hiếu, khoa Chấn thương chỉnh hình, Bệnh viện Đa khoa Tâm Anh Hà Nội, nhận thấy hai gối chị Ngãi bất đối xứng, xương chày gối trái tụt ra sau nhiều hơn gối phải. Khám lâm sàng bằng nghiệm pháp ngăn kéo sau ghi nhận chị có tổn thương dây chằng chéo sau nhưng không đau.
Bác sĩ Hiếu tư vấn chị Ngãi tạm dừng thi đấu cường độ cao, nghỉ ngơi để khám chuyên sâu nhằm đánh giá, điều trị sớm. Tiếp tục thi đấu thể thao dày đặc có thể khiến dây chằng tổn thương nặng hơn, dẫn tới rách sụn chêm, hao mòn khớp sớm và thoái hóa khớp.
Trường hợp anh Giang được bác sĩ Nghĩa mổ nội soi, tái tạo dây chằng chéo sau bằng gân tứ đầu đùi. Hậu phẫu anh phục hồi tốt, có thể chống nạng đi lại sau một ngày. Dự kiến sau khi tập phục hồi chức năng 6-9 tháng, anh Giang mới hoàn toàn bình phục để quay lại hoạt động, chơi thể thao bình thường.
Bác sĩ Hiếu khám gối cho chị Ngãi. Ảnh: Bệnh viện Đa khoa Tâm Anh
Khi gặp chấn thương vùng gối, người bệnh dù không đau rõ rệt, không sưng vẫn cần dừng ngay hoạt động, nghỉ ngơi để đánh giá kỹ. Nếu thấy cảm giác khác lạ, mơ hồ ở gối, đặc biệt thấy gối lỏng, khuỵu nhẹ khi đi xuống cầu thang, quay người, đổi hướng, cần đi khám ngay tại bệnh viện có chuyên khoa sâu về chấn thương chỉnh hình để được chẩn đoán, điều trị kịp thời.
Thanh Long
Nguồn: https://vnexpress.net/nguy-co-ton-thuong-nang-khi-dut-day-chang-nhung-khong-dau-5002763.html

