Chùm áp xe gan 11cm đẩy người bệnh vào tình trạng nguy kịch
Ông T.H.Q (50 tuổi) nhập viện cấp cứu trong tình trạng nguy kịch với sốt cao liên tục 39 độ C, rét run từng cơn, đau tức vùng ngực phải, cơ thể lờ đờ, mệt mỏi nhiều, da nhợt nhạt kèm dấu hiệu nhiễm trùng nặng. Các triệu chứng đã kéo dài suốt 10 ngày, người bệnh sụt 5kg và thể trạng suy kiệt đáng kể.
Ngay lập tức, bệnh nhân được hồi sức tích cực và chỉ định thực hiện các xét nghiệm và thăm dò chẩn đoán hình ảnh chuyên sâu nhằm xác định chính xác nguyên nhân bệnh.
Kết quả cho thấy các chỉ số đều ở mức báo động: men gan tăng gấp đôi giới hạn bình thường; chỉ số phản ánh tình trạng viêm (CRP) tăng gần 70 lần, đặc biệt chỉ số đánh giá tình trạng nhiễm khuẩn huyết (PCT) tăng hơn 200 lần so với ngưỡng an toàn.
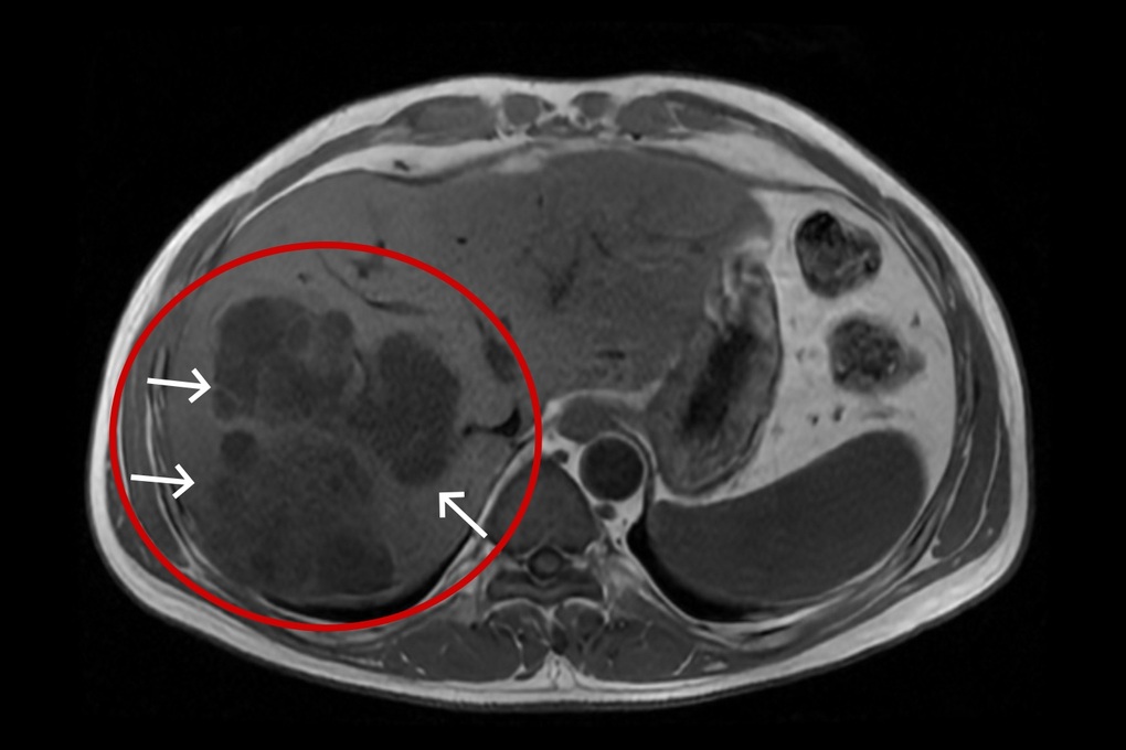
Đồng thời, kết quả siêu âm và chụp MRI ổ bụng cho thấy, nhu mô gan phải vùng hạ phân thùy VII – VIII xuất hiện một ổ tổn thương áp xe kích thước lớn 109 x 102 x 74mm, kèm theo nhiều ổ nhỏ xung quanh. Đáng lo ngại, đây không phải một ổ mủ đơn thuần mà có cấu trúc phức tạp, chứa nhiều vách ngăn, vỏ dày, tạo thành các chùm nang nằm sát vỏ gan, tiềm ẩn nguy cơ vỡ vào ổ bụng.
Chùm áp xe gan đa ổ kích thước lớn với nhiều vách ngăn (Ảnh: BVCC).
Ngay lập tức, ê-kíp bác sĩ hội chẩn chuyên khoa, chẩn đoán bệnh nhân nhiễm khuẩn huyết đường vào từ chùm áp xe gan đa ổ kích thước lớn.
“Ổ áp xe có kích thước lớn và cấu trúc phức tạp với nhiều vách ngăn, không thể can thiệp triệt để trong 1 lần lại nằm sát vỏ gan, nguy cơ vỡ vào ổ bụng là rất cao. Khi đó, mủ và vi khuẩn tràn vào khoang bụng có thể gây viêm phúc mạc, đe dọa trực tiếp tính mạng. Kích thước ổ áp xe lớn khiến chức năng gan bị ảnh hưởng, làm tăng nguy cơ chảy máu trong quá trình can thiệp”, PGS.BS.TS Nguyễn Cảnh Bình – Trưởng khoa Tiêu hóa, BVĐK Hồng Ngọc – bác sĩ trực tiếp điều trị cho bệnh nhân Q phân tích.
Ba lần chọc hút – dẫn lưu cứu sống người bệnh
“Mục tiêu trước mắt là giảm áp lực trong ổ mủ, hạn chế nguy cơ vỡ áp xe và kiểm soát tình trạng nhiễm khuẩn huyết. Chúng tôi lựa chọn phương pháp chọc hút và dẫn lưu ổ áp xe dưới hướng dẫn của siêu âm, kết hợp điều trị kháng sinh mạnh, nâng đỡ thể trạng và hỗ trợ chức năng gan”, PGS.TS.BS Nguyễn Cảnh Bình phân tích về phương án điều trị cho người bệnh.
Ở lần can thiệp đầu tiên, PGS.TS.BS Nguyễn Cảnh Bình và ê-kíp đã tiến hành chọc hút, dẫn ra ngoài 30ml mủ đục màu xanh. Mẫu dịch mủ được gửi xét nghiệm cấy khuẩn, xác định tác nhân gây bệnh là vi khuẩn Klebsiella pneumoniae.
PGS.TS.BS Nguyễn Cảnh Bình và ê-kíp thực hiện chọc hút ổ áp xe dưới hướng dẫn của siêu âm (Ảnh: BVCC).
Dựa trên kết quả này, phác đồ kháng sinh được điều chỉnh phù hợp nhằm đưa các chỉ số viêm nhiễm về mức ổn định, giúp người bệnh giảm sốt, giảm đau và tỉnh táo hơn. Tuy nhiên, do ổ áp xe có nhiều vách ngăn, các khoang mủ không thông nhau nên dịch mủ không thể được hút ra triệt để trong một lần. Vì vậy, ê-kíp bác sĩ đã tiến hành lần can thiệp thứ hai, đặt dẫn lưu và hút ra được khoảng 80ml dịch đục lẫn máu.
Sau 4 ngày can thiệp, kết quả siêu âm cho thấy ổ mủ tại vị trí dẫn lưu đã xẹp, tuy nhiên vẫn còn các ổ dịch khác. Bệnh nhân tiếp tục được chỉ định chọc hút dịch mủ tại vị trí khác và hút ra khoảng 100ml dịch mủ trắng đục ở lần can thiệp thứ ba. Kiểm tra sau can thiệp, khối áp xe đã giảm kích thước đáng kể, ổ dịch lớn nhất chỉ còn khoảng 15 x 19mm.
Lượng dịch và mủ được hút ra sau các lần can thiệp (Ảnh: BVCC).
Sau ba lần can thiệp, ông Q tiếp tục được theo dõi sát và điều trị tích cực bằng kháng sinh kết hợp hồi sức toàn diện. Kết quả kiểm tra cho thấy các ổ dịch còn lại rất ít, đáp ứng điều trị tốt và quá trình hồi phục diễn tiến thuận lợi.
Sau 10 ngày điều trị tích cực, sức khỏe ông Q phục hồi tốt, các tình trạng đau tức ngực không còn, ăn uống tốt và có thể đi lại nhẹ nhàng. Ông Q sau đó được xuất viện và tiếp tục theo dõi, điều trị ngoại trú.
Chia sẻ trong ngày ra viện, ông Q xúc động nói: “Một hành trình điều trị dài và đầy lo lắng, nhưng tôi may mắn khi được các bác sĩ cứu sống. Tôi cảm ơn các bác sĩ bệnh viện Hồng Ngọc”.
Ông Q phục hồi tốt, sắc da hồng hào, tinh thần vui vẻ (Ảnh: BVCC).
Theo các chuyên gia, áp xe gan đa ổ kích thước lớn là bệnh lý nguy hiểm, có thể dẫn đến sốc nhiễm khuẩn, vỡ ổ mủ vào ổ bụng hoặc khoang ngực, đe dọa tính mạng.
Do đó, khi xuất hiện các triệu chứng như sốt cao kéo dài không rõ nguyên nhân, rét run, đau tức vùng hạ sườn phải, mệt mỏi hoặc sụt cân nhanh, người bệnh cần đến cơ sở y tế uy tín để được thăm khám và điều trị kịp thời, tránh những hậu quả đáng tiếc.
Người dân có nhu cầu thăm khám tại Bệnh viện Hồng Ngọc liên hệ đến hotline: 0911 908 856.
Nguồn: https://dantri.com.vn/suc-khoe/nguy-kich-vi-chum-ap-xe-gan-11cm-gay-nhiem-khuan-huyet-20260120105955048.htm

