Gần đây, chị T. (50 tuổi, ngụ tỉnh Quảng Ngãi) tìm đến một bệnh viện ở TPHCM khám vì vú trái sưng to gấp đôi vú phải, kèm đau nhức, chèn ép và khó thở.
Chị cho biết từng nâng ngực cách đây 15 năm, bản thân không có bệnh lý bất thường về mạch máu, không sử dụng thuốc chống đông và cũng không có chấn thương trực tiếp vào ngực quanh thời điểm xảy ra triệu chứng.
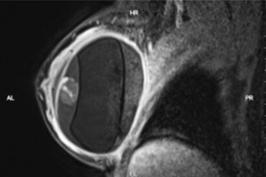
Người phụ nữ được chỉ định siêu âm và chụp cộng hưởng từ (MRI), ghi nhận túi ngực bên trái có tụ dịch.
Ảnh chụp MRI của một bệnh nhân gặp biến chứng sau khi đặt túi ngực (Ảnh: BV).
Bệnh nhân sau đó được chỉ định xét nghiệm tế bào học, kết quả cho thấy dịch viêm chẩn đoán phân biệt với u lympho tế bào lớn thoái sản (BIA-ALCL), một dạng ung thư hiếm gặp.
Bệnh nhân được hội chẩn đa chuyên khoa và được chỉ định phẫu thuật lấy bỏ túi ngực hai bên, cắt trọn bao xơ vú trái. Quá trình phẫu thuật, ê-kíp bác sĩ phát hiện khoảng 100ml dịch máu tụ trong bao xơ quanh túi ngực. Sau ca mổ kéo dài 3 giờ, bệnh nhân ổn định sức khỏe, giải phẫu bệnh không có tế bào ác tính.
Một trường hợp khác là chị Th. (51 tuổi, ở tỉnh Đồng Nai), bị đau kéo dài và biến dạng vú phải. Bệnh nhân cũng từng phẫu thuật đặt túi ngực 10 năm trước.
Quá trình thăm khám, bác sĩ ghi nhận vú phải người phụ nữ có các dấu hiệu căng tức, biến dạng. Kết quả chụp chiếu hình ảnh phát hiện vỡ túi hai bên kèm tụ máu, silicone rò ra mô xung quanh.
Trong khi mổ, ê-kíp phẫu thuật đã hút khoảng 200ml hỗn hợp máu và silicone, xử lý bao xơ và thay túi độn mới. Sau phẫu thuật, chị Th. hồi phục nhanh, ổn định sức khỏe lẫn tâm lý.
Còn bà H. (64 tuổi, ngụ TPHCM) có 2 lần đặt túi ngực vào các năm 2000 và 2011, để cải thiện tình trạng ngực bị chảy xệ và teo nhỏ sau khi sinh con. Tháng 9 vừa qua, trong lần khám sức khỏe định kỳ, kết quả siêu âm cho thấy bệnh nhân có bất thường túi ngực phải.
Bệnh nhân được chụp thêm MRI tuyến vú, xác định túi ngực phải vỡ trong bao, có dịch rò rỉ nhẹ. Nhằm phòng ngừa biến chứng, bác sĩ đã chỉ định người phụ nữ phẫu thuật loại bỏ hai túi ngực cũ, xử lý triệt để bao xơ.
Bác sĩ phẫu thuật xử lý biến chứng ở ngực cho bệnh nhân (Ảnh: BV).
ThS.BSCKI Huỳnh Bá Tấn, khoa Ngoại Vú – Đầu Mặt Cổ, cho biết nâng ngực bằng túi độn là một trong những phẫu thuật được thực hiện nhiều nhất, theo thống kê của Hội Tạo hình Thẩm mỹ Hoa Kỳ.
Trước đây, bệnh nhân thường được khuyến cáo nên thay túi ngực sau khoảng 10 năm. Hiện nay, nhiều phụ nữ có thể duy trì túi ngực an toàn trong thời gian dài hơn nếu không gặp biến chứng.
Ngược lại, một số trường hợp phải phẫu thuật lại sớm hơn dự kiến, do xuất hiện biến chứng liên quan đến túi như co thắt bao xơ, vỡ túi hoặc biến dạng ngực. Các biến chứng hiếm gặp hơn là tụ dịch, tụ máu muộn, biểu hiện bằng việc ngực sưng đau, to nhanh.
Những trường hợp này cần loại trừ sớm u lympho tế bào lớn thoái sản, để tránh tiến triển ác tính.
Bác sĩ khuyến cáo, phụ nữ bị sưng đau sau nhiều năm đặt túi ngực nên đi khám sớm. Nếu phát hiện và điều trị kịp thời, tiên lượng thường tốt. Ngoài ra, việc nâng ngực phải thực hiện tại cơ sở đáng tin cậy, có bác sĩ được đào tạo bài bản và người bệnh được theo dõi định kỳ.
Nguồn: https://dantri.com.vn/suc-khoe/nhieu-phu-nu-gap-bien-chung-nguy-hiem-sau-thoi-gian-dai-nang-nguc-20251023122909020.htm

