Tử vong vì biến chứng nặng sau khi hút mỡ thẩm mỹ
Tại Hội nghị khoa học Thẩm mỹ thường niên lần thứ 25 (HSPAS 2025), diễn ra các ngày 6-7/12, BSCKII Vũ Đình Ân, Trưởng khoa Hồi sức tích cực – Chống độc (ICU), Bệnh viện Quân y 175 (Bộ Quốc phòng) đã chia sẻ về một trường hợp biến chứng thuyên tắc mỡ nặng sau phẫu thuật thẩm mỹ.
Bệnh nhân là một nữ Việt kiều 60 tuổi, tiền sử đã nhiều lần phẫu thuật thẩm mỹ, không ghi nhận tiền sử bệnh mạn tính. Theo bệnh sử, trước khi nhập viện, bệnh nhân vừa đáp chuyến bay về Việt Nam đã đi cắt mí mắt trên dưới 2 bên, thay túi ngực 2 bên, hút mỡ đùi 2 bên, hút mỡ bụng và tái tạo thành bụng.
Hậu phẫu ngày 2, bệnh nhân đi vệ sinh xong thì đột ngột khó thở, chỉ số oxy trong máu (SpO2) và huyết áp tụt. Qua thăm khám, cơ sở phẫu thuật thẩm mỹ nhận định bệnh nhân bị phản vệ độ 3, phân biệt với thuyên tắc phổi.
Bệnh nhân gặp tai biến nặng sau khi hút mỡ (Ảnh: BS).
Bệnh nhân được cho thở máy, dùng thuốc vận mạch, bù dịch, bù chế phẩm máu, xử trí bằng phác đồ phản vệ, nhưng tình trạng hô hấp, huyết động không cải thiện.
Khi chuyển đến Bệnh viện Quân y 175, nữ Việt kiều đã trong tình trạng sốc, vô niệu, chảy máu vết mổ thành bụng và ngực, suy hô hấp giảm oxy máu, phải thở máy kiểm soát qua nội khí quản.
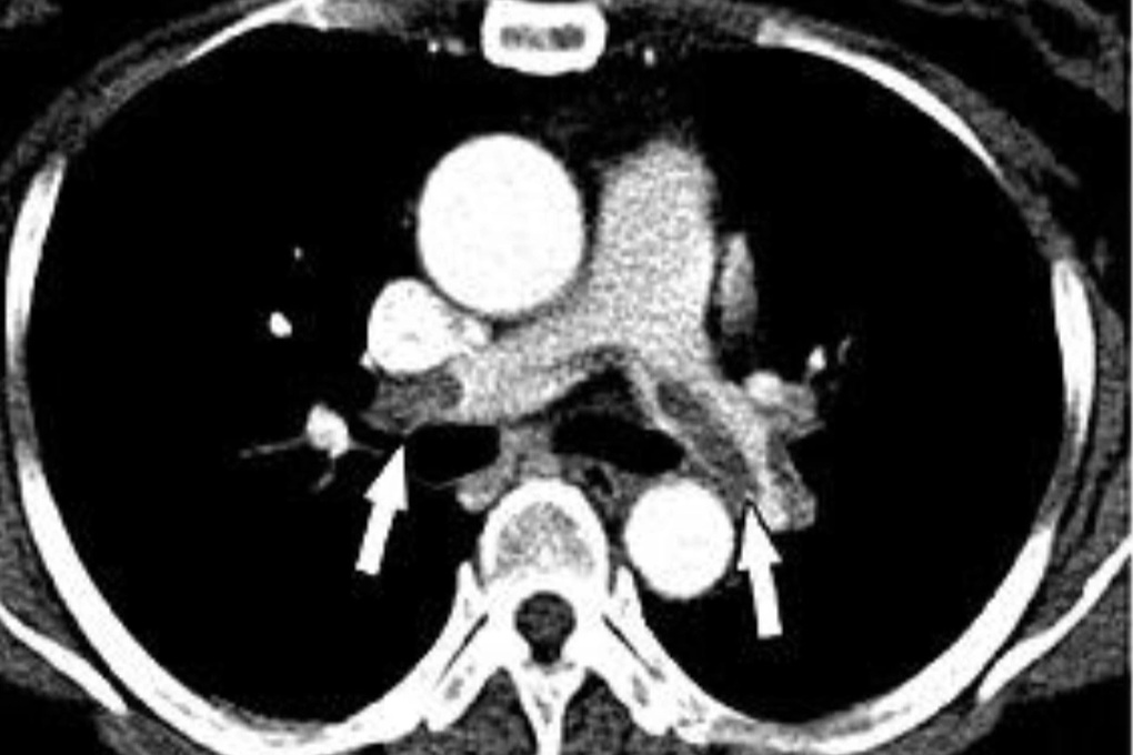
Kết quả siêu âm tim cho thấy bệnh nhân giãn thất phải có đè ép thất trái, ảnh CT ngực ghi nhận tình trạng thuyên tắc nhiều nhánh động mạch phổi 2 bên.
Trong khi đó, ảnh CT-scan ổ bụng cho kết quả nhồi máu thận phải, có dịch tự do ổ bụng, tụ dịch khí phần mềm thành bụng, có ổ tụ dịch dấu hiệu chảy máu hoạt động trong lớp mỡ dưới da vùng hông phải.
Tại vùng mặt gần vị trí phẫu thuật tiêm mỡ tự thân của bệnh nhân có những chấm xuất huyết dưới da. Nữ Việt kiều được chẩn đoán thuyên tắc huyết khối và thuyên tắc mỡ.
Kết quả CT cho thấy bệnh nhân thuyên tắc động mạch phổi 2 bên (Ảnh: BS).
Quá trình điều trị, bệnh nhân tiếp tục được thở máy, dùng thuốc vận mạch, thuốc tăng co bóp cơ tim, lọc máu liên tục và trao đổi huyết tương, song song với việc bù chế phẩm máu, kiểm soát chảy máu thành bụng.
Tuy nhiên, người phụ nữ sốc tim không đáp ứng điều trị, suy đa cơ quan tiến triển đông máu nội mạch rải rác không cải thiện.
Bệnh nhân được hội chẩn chuyên gia để thực hiện kỹ thuật chạy ECMO. Nhưng vì đã cao tuổi, thể trạng kém, suy kiệt và nhiễm trùng nặng, sau thời gian đầu có cải thiện, bệnh nhân diễn tiến viêm phổi, suy hô hấp tái diễn và không qua khỏi.
Vì sao tiêm mỡ tự thân gây thuyên tắc mỡ?
Theo BSCKII Vũ Đình Ân, hội chứng thuyên tắc mỡ (FES) và thuyên tắc phổi do mỡ (PFE) xảy ra do chấn thương (như gãy xương đùi) hoặc các nguyên nhân như phẫu thuật thẩm mỹ (tiêm mỡ tự thân, hút mỡ), viêm tủy xương, bệnh hồng cầu hình liềm… Bệnh nhân gặp tình trạng này có tỷ lệ tử vong cao (7-36%).
Bác sĩ Ân chia sẻ, nhu cầu phẫu thuật thẩm mỹ hiện nay có xu hướng ngày càng gia tăng. Tại Việt Nam, nhiều cơ sở hoạt động thẩm mỹ dù không được cấp phép, làm tăng nguy cơ tai biến, biến chứng.
Báo cáo phân tích 40 bệnh nhân bị thuyên tắc phổi do hút mỡ và tiêm mỡ tự thân trên 19 quốc gia cho thấy, hơn 90% ca bệnh tử vong trong vòng 5 ngày sau phẫu thuật, 69% có triệu chứng khởi phát trong vòng 24 giờ sau phẫu thuật.
Một ca tai biến sau khi phẫu thuật hút mỡ bụng (Ảnh: BS).
“Khi mỡ tự thân được tiêm vào cơ thể, đặc biệt là tại các khu vực giàu mạch máu như mông, đùi, hoặc mặt, mỡ có thể xâm nhập vào các tĩnh mạch lớn. Các giọt mỡ lớn từ đó theo dòng máu đi vào hệ thống tuần hoàn, đến phổi và các hệ mạch nhỏ khác trong cơ thể.
Các giọt mỡ sau khi vào tuần hoàn máu sẽ kích hoạt phản ứng viêm. Các tế bào miễn dịch sẽ tấn công các giọt mỡ, dẫn đến tổn thương mao mạch và gây viêm mô. Hậu quả là các mao mạch ở phổi và não bị tổn thương, gây thoát dịch và dẫn đến các biến chứng như suy hô hấp và tổn thương não.
Có nhiều yếu tố nguy cơ trong tiêm mỡ tự thân, như khối lượng mỡ tiêm lớn, vị trí và kỹ thuật tiêm…”, bác sĩ Ân phân tích.
Chuyên gia khuyến cáo, PFE/FES là một biến chứng hiếm nhưng đe dọa tính mạng. Việc nhận biết sớm và can thiệp kịp thời đóng vai trò quan trọng trong việc cải thiện kết cục điều trị
Các bác sĩ thẩm mỹ và phẫu thuật viên cần có hiểu biết rõ ràng về nguy cơ này để có thể phòng ngừa và quản lý tốt các biến chứng tiềm ẩn.
TS.BS Nguyễn Việt Cường, Phó Giám đốc Bệnh viện Quân y 175, cho biết, hội nghị quy tụ gần 1.500 đại biểu, chuyên gia và nhà khoa học đầu ngành trong nước, cùng gần 20 báo cáo viên đến từ Nhật Bản, Hàn Quốc, Thái Lan, Anh, Nga, Tây Ban Nha…
Chương trình hội nghị diễn ra với 85 bài báo cáo kinh nghiệm lâm sàng và nghiên cứu ứng dụng tiến bộ khoa học, phát triển kỹ thuật… được trình bày trong suốt 2 ngày, với các chuyên đề trọng tâm: Phẫu thuật nâng ngực và tạo hình vú; Phẫu thuật nâng mũi và tạo hình khuôn mặt; Phẫu thuật hút mỡ và tạo hình thành bụng; Phẫu thuật thẩm mỹ chung… Bên cạnh đó, còn có 3 phiên thẩm mỹ nội khoa.
Điểm nhấn nổi bật của hội nghị là chương trình thị phạm 7 ca phẫu thuật chuyên sâu, được truyền hình trực tiếp tại phòng mổ của Bệnh viện Quân y 175 đến hội trường.
Nguồn: https://dantri.com.vn/suc-khoe/nu-viet-kieu-60-tuoi-tu-vong-vi-bien-chung-nang-sau-khi-hut-mo-nang-nguc-20251206133534172.htm

