TP HCMBà Phương, 65 tuổi, khám sức khỏe được bác sĩ phát hiện hai nốt phổi trái, xét nghiệm xác định ung thư giai đoạn sớm.
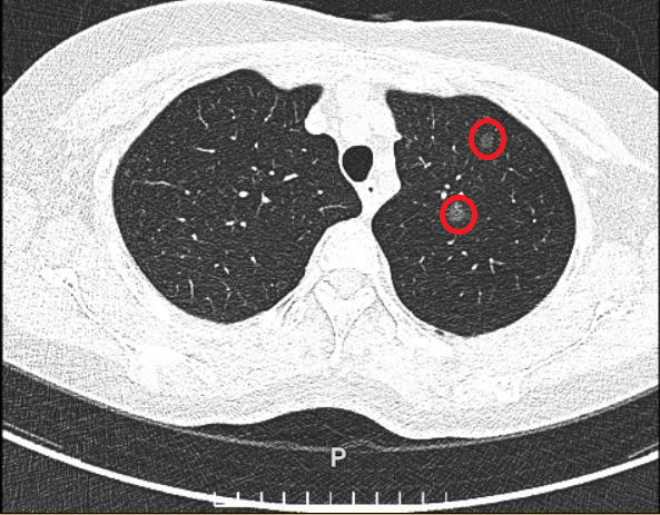
Bà Phương tiền sử hen phế quản điều trị bằng thuốc xịt, chụp CT liều thấp tại Bệnh viện Đa khoa Tâm Anh phát hiện hai nốt nhỏ ở thùy trên phổi trái. Một nốt kích thước 6,6×5,3 mm, mật độ thấp, đồng nhất, xếp loại Lung-RADS 2 (bảng phân loại nốt phổi nghi ngờ ung thư phổi). Nốt còn lại lớn, kích thước 11×5,9 mm, mật độ cao, không đồng nhất, bờ không đều, xếp hạng nguy cơ cao nhất (4X) theo LungRADS .
TS.BS Vũ Hữu Khiêm, Trưởng khoa Ung bướu, cho biết nốt phổi là một tổn thương nhỏ, khu trú trong nhu mô phổi, thường được phát hiện tình cờ khi người bệnh chụp X-quang hoặc CT ngực. Phần lớn nốt phổi có kích thước nhỏ, dạng mờ, bờ nhẵn, không thay đổi qua thời gian theo dõi thường liên quan đến nguyên nhân lành tính như viêm phổi, lao, nhiễm nấm hoặc phản ứng viêm. Do đó, nguy cơ ác tính thấp.
Hai nốt nhỏ ở thùy trên phối trái của bà Phương trên phim chụp CT liều thấp. Ảnh: Bệnh viện Đa khoa Tâm Anh
Khi các đặc điểm của nốt phổi gợi ý ác tính, bác sĩ có thể chỉ định sinh thiết. Người bệnh có thể được phẫu thuật nội soi lồng ngực nếu tổn thương nốt phổi có nguy cơ cao. Khi có chỉ định phẫu thuật, mẫu mô có thể được làm sinh thiết tức thì ngay trong mổ. Nếu kết quả xác định ung thư, phẫu thuật viên sẽ xử lý triệt căn trong cùng một cuộc mổ, đảm bảo hiệu quả điều trị tối ưu.
Êkíp sinh thiết nốt phổi bằng phẫu thuật nội soi lồng ngực cắt phân thùy phổi. Ảnh: Bệnh viện Đa khoa Tâm Anh
Với bà Phương, bác sĩ hội chẩn liên khoa chỉ định phẫu thuật nội soi cắt phân thùy phổi trái. Kết quả sinh thiết lạnh tức thời trong mổ và giải phẫu mô bệnh học hậu phẫu xác định nốt phổi nhỏ là ung thư biểu mô tuyến không chế nhầy xâm nhập tối thiểu. Nốt phổi có kích thước lớn hơn là ung thư biểu mô tuyến xâm nhập type chùm nang, độ 2. 3/3 hạch không có tế bào u di căn.
Bác sĩ Khiêm cho hay bà Phương được phát hiện ung thư phổi rất sớm, khu trú trong nhu mô, chưa xâm lấn cấu trúc lân cận và không di căn hạch. Nhờ phẫu thuật triệt căn khối u ở giai đoạn sớm, bệnh nhân không cần hóa hay xạ trị bổ trợ song cần tái khám định kỳ theo dõi chặt chẽ, đề phòng khối u tái phát.
Bác sĩ Khiêm khuyến nghị mọi người nên khám sức khỏe định kỳ. Phụ nữ trên 30 tuổi, không hút thuốc, sống ở khu vực đô thị nên tầm soát định kỳ bằng chụp CT ngực liều thấp mỗi 12-24 tháng, ngay cả khi không có triệu chứng. Người trên 50 tuổi có tiền sử hút thuốc lá, tiếp xúc với khói thuốc thụ động, phơi nhiễm silic, radon, kim loại nặng, tiền sử gia đình có người ung thư phổi nên tầm soát định kỳ với CT phổi liều thấp.
Globocan 2022 ghi nhận Việt Nam có hơn 24.400 ca mắc mới và gần 22.600 ca tử vong do ung thư phổi. Những triệu chứng ban đầu của bệnh thường mơ hồ như ho kéo dài, khàn tiếng, mệt mỏi, sụt cân nhẹ…
Hiếu Nguyễn
*Tên người bệnh đã được thay đổi
| Độc giả gửi câu hỏi về hô hấp tại đây để bác sĩ giải đáp |
Nguồn: https://vnexpress.net/phat-hien-ung-thu-phoi-giai-doan-som-nho-dau-vet-nho-5047386.html

