TP HCMÔng Toàn, 54 tuổi, bị u ác bàng quang, được bác sĩ phẫu thuật bằng robot cắt bàng quang ung thư và tái tạo từ ruột non.
Khối u ác tính đường kính 4-6 cm có dấu hiệu xâm lấn vào lớp cơ bàng quang bệnh nhân. Êkíp TS.BS Nguyễn Hoàng Đức, Trưởng khoa Tiết niệu, Trung tâm Tiết niệu – Thận học – Nam khoa, Bệnh viện Đa khoa Tâm Anh TP HCM, quyết định phẫu thuật “2 trong 1” mục tiêu cắt bỏ toàn bộ bàng quang triệt căn khối u và tạo hình bàng quang mới từ ruột non cho người bệnh bằng robot Da Vinci Xi.
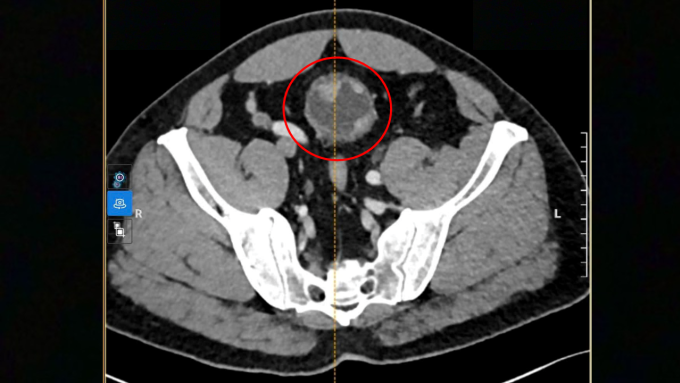
Ảnh CT ghi nhận khối u to bất thường xâm lấn cơ bàng quang người bệnh. Ảnh: Bệnh viện Đa khoa Tâm Anh
Với kỹ thuật tạo hình bàng quang truyền thống, bác sĩ phải mở thêm một đường mổ khoảng 6-7 cm để đưa đoạn ruột ra ngoài ổ bụng, làm sạch và tạo hình rồi mới đặt lại vào trong để nối niệu quản và niệu đạo. Với robot, toàn bộ các thao tác có thể thực hiện trực tiếp trong ổ bụng nhờ cánh tay robot linh hoạt và hình ảnh 3D phóng đại, giúp giảm mất máu, hạn chế đau sau mổ, rút ngắn thời gian hồi phục. Sau mổ, người bệnh có thể đi tiểu theo đường tự nhiên, tránh phải mang túi nước tiểu suốt đời. Tuy nhiên, ca mổ dài gấp đôi, thậm chí lâu hơn so với phẫu thuật thông thường.
Bác sĩ Đức điều khiển robot Da Vinci Xi cắt tận gốc bàng quang và nạo vét hạch chậu cho ông Toàn, bảo toàn các cấu trúc thần kinh. Sau khi cắt trọn bàng quang ung thư, bác sĩ sử dụng một đoạn cuối ruột non (hồi tràng) dài khoảng 15-20 cm của chính người bệnh để tạo thành một túi chứa nước tiểu mới thay thế bàng quang đã cắt bỏ. Sau đó, hai niệu quản được khâu nối vào túi này để dẫn nước tiểu từ thận xuống và túi được nối vào niệu đạo.
Bác sĩ Đức đang điều khiển robot Da Vinci Xi phẫu thuật cắt khối u và tạo bàng quang mới cho người bệnh. Ảnh: Bệnh viện Đa khoa Tâm Anh
Ba ngày sau mổ, ông Toàn có thể vận động nhẹ nhàng và được xuất viện. Ông cần đặt ống thông tiểu khoảng ba tuần trước khi tập đi tiểu theo đường tự nhiên để cơ thể thích nghi với bàng quang mới.
PGS.TS.BS Vũ Lê Chuyên, Chủ tịch Danh dự Hội Tiết Niệu Thận học Việt Nam, Giám đốc Trung tâm Tiết niệu – Thận học – Nam khoa, Bệnh viện Đa khoa Tâm Anh TP HCM, cho biết phẫu thuật tạo hình bàng quang bằng ruột triển khai tại Việt Nam từ năm 1995 với nhiều phương pháp tạo hình khác nhau, từ mổ mở đến mổ nội soi truyền thống và gần đây là mổ nội soi có robot hỗ trợ.
Ung thư bàng quang là một trong những loại ung thư phổ biến nhất ở nam giới, đặc biệt sau tuổi 50. Bệnh thường khởi phát âm thầm, triệu chứng dễ nhầm lẫn với viêm đường tiết niệu thông thường như tiểu buốt, tiểu rắt, tiểu nhiều lần hoặc tiểu ra máu thoáng qua. Nhiều người tự mua thuốc điều trị khiến bệnh âm thầm tiến triển xâm lấn cơ, buộc phải cắt bỏ toàn bộ bàng quang để triệt căn ung thư.
Bác sĩ Đức khuyến cáo nam giới trên 50 tuổi nếu gặp rối loạn tiểu tiện kéo dài hoặc có máu trong nước tiểu nên khám chuyên khoa tiết niệu để nội soi phát hiện sớm bất thường, can thiệp ít xâm lấn, bảo tồn bàng quang.
Đình Lâm
*Tên nhân vật đã được thay đổi
Nguồn: https://vnexpress.net/robot-phau-thuat-tao-hinh-bang-quang-tu-ruot-non-nguoi-ung-thu-5051793.html

