Thứ tư, Tháng mười hai 17, 2025
HomeSức KhỏeTăng huyết áp khiến người đàn ông đột quỵ

Tăng huyết áp khiến người đàn ông đột quỵ

Hà NộiAnh Đức, 41 tuổi, tiền sử tăng huyết áp nhiều năm không dùng thuốc, đột ngột ngất khi đang làm việc, bác sĩ chẩn đoán đột quỵ do xuất huyết não.

Anh Đức được chuyển đến khoa Cấp cứu, Bệnh viện Đa khoa Tâm Anh Hà Nội trong tình trạng hôn mê sâu, chỉ số tri giác Glasgow còn 6 điểm (người khỏe mạnh là 15 điểm, mức độ nghiêm trọng dưới 8 điểm), tổn thương thần kinh nặng, huyết áp cao 180/90 mmHg.

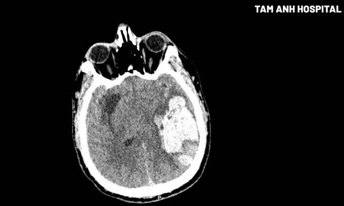
Kết quả chụp CT cho thấy bệnh nhân có ổ tụ máu nhu mô não thùy thái dương đỉnh trái kích thước 40×45×81 mm, chèn ép não thất cùng bên, lệch đường giữa 7 mm sang phải, thoát vị hồi hải mã trái (một phần hồi hải mã ở thùy thái dương trái bị đẩy lệch xuống dưới và vào trong, chui qua dưới liềm đại não). Tiến sĩ, bác sĩ Nguyễn Đức Anh, Trưởng khoa Ngoại Thần kinh Cột sống, chẩn đoán anh Đức xuất huyết não do tăng huyết áp giờ đầu, tình trạng rất nặng.

Khi bệnh nhân tăng huyết áp không được điều trị, nguy cơ cao đột quỵ. Huyết áp vượt 140/90 mmHg, hệ thống mạch máu nuôi não có thể bị tổn thương. Huyết áp tăng vọt khiến mạch máu vỡ, gây xuất huyết não.

Hình ảnh khối máu tụ ở thùy thái dương đỉnh trái của người bệnh qua phim chụp CT. Ảnh: Bệnh viện Đa khoa Tâm Anh Hà Nội

Hình ảnh khối máu tụ ở thùy thái dương đỉnh trái của người bệnh qua phim chụp CT. Ảnh: Bệnh viện Đa khoa Tâm Anh

Bác sĩ chỉ định mổ não cho người bệnh bằng phương pháp mở nắp hộp sọ diện rộng nhanh chóng giảm áp lực nội sọ, lấy khối máu tụ và cầm máu trong thời gian ngắn nhất nhằm kiểm soát điểm chảy máu, ngăn xuất huyết tái phát. Đồng thời giảm nguy cơ di chứng liệt, rối loạn ngôn ngữ, suy giảm nhận thức.

Theo bác sĩ Đức Anh, ca mổ gặp nhiều khó khăn do khối máu tụ kích thước lớn và chảy máu nặng nề, nằm trong vùng nhu mô não giữ nhiều chức năng quan trọng như vận động, ghi nhớ, xử lý ngôn ngữ, nhận biết âm thanh, cảm xúc. Người bệnh có tiền sử tăng huyết áp nhưng không dùng thuốc, thành mạch nhạy cảm với biến động huyết áp, dễ tổn thương, nguy cơ chảy máu thứ phát trong ca mổ cao.

Nhờ hệ thống định vị thần kinh Neuro Navigation tích hợp AI, kính vi phẫu, bác sĩ xác định chính xác vị trí khối máu tụ, theo dõi vị trí dụng cụ so với mạch máu và mô não lành theo thời gian thực, nhờ đó thao tác nhanh, chính xác.

Bác sĩ đưa ống chuyên dụng vào sâu trong não, chọn lọc theo các rãnh tự nhiên, tách mô não sang hai bên, tiến sâu đến lấy sạch máu tụ, giải phóng chèn ép não. Song song, bác sĩ dùng dao điện lưỡng cực áp nhiệt trực tiếp vào đầu mạch đang chảy máu nhằm làm kín mạch, cầm máu ngay lập tức.

Sau 30 ngày kiểm soát huyết áp chặt chẽ, giảm phù não, kháng sinh dự phòng nhiễm trùng, sức khỏe anh Đức ổn định, vết mổ hết phù, tri giác cải thiện, chức năng vận động dần hồi phục. Kết quả chụp CT kiểm tra cho thấy khối máu tụ đã được lấy sạch, đường giữa trở lại bình thường, não thất chỉ còn ép nhẹ. Hiện, người bệnh tiếp tục điều trị phục hồi chức năng với bài tập thiết kế riêng.

Ekip bác sĩ phẫu thuật lấy máu tụ, cầm máu và giải phóng chèn ép não cho người bệnh. Ảnh: Bệnh viện Đa khoa Tâm Anh Hà Nội

Ekip bác sĩ phẫu thuật lấy máu tụ, cầm máu và giải phóng chèn ép não cho người bệnh. Ảnh: Bệnh viện Đa khoa Tâm Anh

Theo Bộ Y tế, Việt Nam hiện có khoảng 12 triệu người tăng huyết áp. Tỷ lệ người chưa được chẩn đoán hoặc đã phát hiện nhưng chưa kiểm soát hiệu quả vẫn ở mức cao.

Bác sĩ Đức Anh khuyên chủ động theo dõi huyết áp thường xuyên, nhất là người trên 40 tuổi hoặc có tiền sử gia đình mắc bệnh tim mạch. Người đã được chẩn đoán tăng huyết áp cần tuân thủ phác đồ điều trị, không tự ý ngừng thuốc. Nên duy trì lối sống lành mạnh như ăn nhạt, hạn chế đồ béo, rượu bia; không hút thuốc; ngủ đủ giấc, tập luyện thể dục đều đặn và kiểm soát căng thẳng.

Người bệnh tăng huyết áp nên khám, tầm soát đột quỵ ít nhất 2 lần mỗi năm hoặc theo chỉ định của bác sĩ. Hiện các kỹ thuật chẩn đoán hình ảnh như CT 1975 lát cắt, MRI 3 Tesla, máy chụp mạch DSA… hỗ trợ phát hiện sớm tổn thương mạch máu, bất thường ở tim, não, từ đó can thiệp kịp thời và giảm biến chứng.

Trịnh Mai

* Tên người bệnh đã được thay đổi

Độc giả gửi câu hỏi về bệnh thần kinh tại đây để bác sĩ giải đáp

Nguồn: https://vnexpress.net/tang-huyet-ap-khien-nguoi-dan-ong-dot-quy-4992934.html

VnExpress Logo

Hello Mình là Cải

Theo dõi
Thông báo của
0 Góp ý
Mới nhất
Cũ nhất Được bỏ phiếu nhiều nhất
Phản hồi nội tuyến
Xem tất cả bình luận

Tin Nóng Hôm Nay