Sáng 18/11, BSCKII Nguyễn Thắng Nhật Tuệ, Trưởng khoa Cấp cứu một bệnh viện ở TPHCM thông tin với phóng viên Dân trí, ông và các cộng sự vừa tiếp tục cấp cứu một trường hợp nguy kịch tại nhà, nhưng gia đình thử cứu chữa bằng phương pháp phản khoa học.
Bệnh nhân là người đàn ông tên Nguyễn (43 tuổi, ngụ TPHCM, tên đã thay đổi). Theo lời kể của gia đình, trước đó người đàn ông đã một vài lần đi cấp cứu vì huyết áp cao.
Bệnh nhân đã được kê thuốc điều trị, nhưng uống một thời gian thấy khỏe lại ngưng thuốc. Máy đo tại nhà ghi nhận huyết áp cao, dù được người thân khuyên uống thuốc nhưng bệnh nhân vẫn không nghe
Sáng 17/11, người vợ đợi mãi không thấy anh xuống nhà chở con đi học. Sốt ruột, chị chạy lên tìm thì thấy chồng nằm gục trong nhà vệ sinh, nên hốt hoảng gọi cấp cứu.
Đáng chú ý, trong lúc chờ xe cấp cứu, vợ anh Nguyễn cho chồng uống thuốc hạ áp và vắt chanh vào miệng để “cầu may”.
Khi các nhân viên y tế đến, bệnh nhân đã trong tình trạng lơ mơ, còn đáp ứng đau nhưng liệt hoàn toàn bên trái, mất ngôn ngữ, huyết áp rất cao. Sau khi sơ cứu ổn định ban đầu, các y bác sĩ chuyển gấp người đàn ông đến bệnh viện.
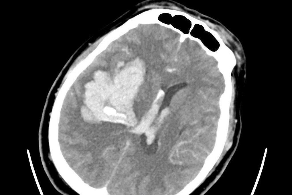
Tại đây, ảnh chụp CT não cho thấy bệnh nhân bị xuất huyết não lớn, được đặt nội khí quản để bảo vệ đường thở và chuyển mổ cấp cứu.
“Trong lúc đặt ống nội khí quản, chúng tôi phải hút ra khá nhiều nước cốt chanh và cả bả thuốc còn đọng trong hầu họng, minh chứng việc gia đình đã cho bệnh nhân uống trong lúc lơ mơ. Đây là điều cực kỳ nguy hiểm”, bác sĩ Tuệ chia sẻ.
Sau khi tổng hợp tất cả dữ liệu, nam bệnh nhân được chẩn đoán xuất huyết nội sọ, trên nền bệnh lý tăng huyết áp, hen suyễn. Người đàn ông được tiến hành phẫu thuật sọ não để xử lý tình trạng xuất huyết, hiện tại được điều trị, theo dõi sát tại khoa Hồi sức tích cực (ICU).
Ảnh chụp CT cho thấy bệnh nhân bị xuất huyết não nặng (Ảnh: BS).
Qua trường hợp này, bác sĩ Tuệ khuyến cáo lại cộng đồng, việc tăng huyết áp ở người trẻ không hiếm và hoàn toàn có thể gây đột quỵ nặng chỉ vì bỏ thuốc.
Bên cạnh đó, khi bệnh nhân bất tỉnh, lơ mơ, yếu liệt, người nhà tuyệt đối không cho uống bất kỳ thứ gì, kể cả nước, thuốc hay vắt chanh. Hành động này rất dễ làm bệnh nhân sặc, tắc đường thở và khiến tình trạng nguy kịch hơn.
Thay vào đó, cần gọi cấp cứu 115 ngay, sau đó mở cửa nhà, dọn đường, theo dõi hô hấp tuần hoàn của bệnh nhân cho đến khi nhân viên y tế tới.
“Đột quỵ không chừa một ai, nhưng rất nhiều người đã có thể tránh được khi uống thuốc đều và không xử trí sai trong lúc chờ cấp cứu”, bác sĩ chia sẻ.
Trước đó vài ngày, một người đàn ông 52 tuổi ở TPHCM cũng bất ngờ hôn mê tại nhà sau vài ngày có triệu chứng mệt. Thay vì gọi cấp cứu ngay, gia đình đã cố vắt chanh vào miệng với hy vọng bệnh nhân tỉnh lại. Nhưng việc này khiến người đàn ông khó thở nặng hơn, trì hoãn việc hồi sức cấp cứu.
Hậu quả là khi ê-kíp cấp cứu tiếp cận, bệnh nhân đã ngưng tim, ngưng thở, phù não nặng do thiếu oxy kéo dài, không còn khả năng cứu chữa.
Nguồn: https://dantri.com.vn/suc-khoe/them-benh-nhan-hon-me-nang-vo-vat-chanh-vao-mieng-cau-may-nhung-khong-tinh-20251118113030046.htm

