TP HCMBà Hoa, 62 tuổi, đột ngột tê yếu nửa người, nghĩ đột quỵ, bác sĩ chẩn đoán ung thư phổi di căn não, gan, thận, xương.
Bà Hoa đột ngột hoa mắt, chóng mặt, ngất xỉu, nằm ngủ mê man 6 tiếng thì khỏe lại, đến Bệnh viện Đa khoa Tâm Anh TP HCM khám. Kết quả chụp MRI sọ não ghi nhận bà Hoa có khối u lớn 2,5 cm ở vùng trán – đỉnh bên phải gây phù não lan rộng và chèn ép sừng trán não thất phải. Tiểu não hai bên có hai nốt tổn thương cùng nhiều u nhỏ khác trong não (đa ổ).
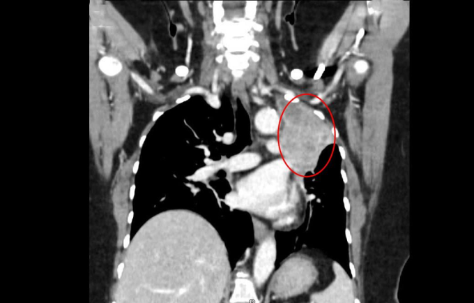
BS.CKII Nguyễn Trần Anh Thư, khoa Ung Bướu, Trung tâm Ung Bướu, cho biết các khối u ở não gây ra triệu chứng tương tự đột quỵ khiến người bệnh nhầm lẫn. Các khối u này có khả năng cao do ung thư di căn. Bác sĩ chỉ định chụp CT lồng ngực thùy trên phổi trái cho thấy khối tổn thương kích thước hơn 7 cm, bờ gồ ghề, gây xẹp phổi xung quanh.
Kết quả chụp CT thấy phổi trái bà Hoa có khối u hơn 7cm. Ảnh: Bệnh viện Đa khoa Tâm Anh
Sau hội chẩn, các bác sĩ phẫu thuật thần kinh mổ não lấy trọn khối u 2,5 cm để giải áp nội sọ, giúp giảm các triệu chứng cho người bệnh. Kết quả giải phẫu bệnh tổn thương ở não xác định ung thư biểu mô tuyến của phổi di căn não. Các kết quả kiểm tra sau đó ghi nhận bà Hoa bị di căn thêm ở gan, thượng thận, xương.
Theo bác sĩ Thư, bệnh được phát hiện ở giai đoạn trễ, mục tiêu điều trị chính là cải thiện triệu chứng, giảm đau, nâng cao chất lượng cuộc sống. Bên cạnh dùng thuốc giảm đau, bà Hoa được xạ trị để giảm các triệu chứng đau dữ dội ở đầu, buồn nôn, chóng mặt, mất khả năng giữ thăng bằng…
Bà Hoa có nhiều khối u di căn ở khắp não (đa ổ). BS.CKII Bùi Lê Phước Thu Thảo, Phó khoa Xạ trị, Trung tâm Ung bướu, Bệnh viện Đa khoa Tâm Anh TP HCM, chỉ định xạ trị toàn bộ não với 10 tia. Tuy nhiên, não có hai dải hồi hải mã có vai trò trong ghi nhớ, học tập, định hướng không gian. Do đó, đội ngũ kỹ sư vật lý y khoa chọn kỹ thuật xạ trị không đồng phẳng nhằm bảo tồn hồi hải mã, giảm các triệu chứng liên quan đến nhận thức, trí nhớ, cải thiện chất lượng sống cho người bệnh. Ngoài ra, bà được tăng liều đồng thời vào các tổn thương đại thể (hai tổn thương tiểu não) để nâng hiệu quả điều trị.
Lần xạ đầu tiên, người bệnh có cảm giác triệu chứng tăng hơn do phản ứng viêm của khối u gây tăng chèn ép. Các lần xạ tiếp theo, triệu chứng cải thiện dần, bà thấy không còn đau đầu, buồn nôn, chóng mặt, ăn uống và vận động dễ dàng hơn.
Bà Hoa được điều trị tại khoa Ung Bướu, Bệnh viện Đa khoa Tâm Anh. Ảnh: Bệnh viện cung cấp
Ung thư phổi đứng hàng đầu trong số ca mắc và tử vong do ung thư trên thế giới cũng như tại Việt Nam. Bệnh tiến triển âm thầm, ở giai đoạn sớm, ung thư phổi không biểu hiện triệu chứng. Khi các triệu chứng xuất hiện, thường bệnh đã ở giai đoạn muộn, khối u lan rộng, xâm lấn hệ thống hạch bạch huyết và các cơ quan xa qua hệ thống mạch máu, mạch bạch huyết.
Bác sĩ Anh Thư cho biết ung thư phổi khi được phát hiện sớm và điều trị đúng hướng, người bệnh có khả năng được chữa khỏi – kiểm soát bệnh, tiên lượng sống cao. Mỗi người nên khám sức khỏe định kỳ. Nhóm nguy cơ cao như người từ 50 tuổi trở lên, tiền sử hút thuốc lá nên khám sàng lọc, chụp CT phổi liều thấp để kiểm tra sức khỏe phổi, có thể phát hiện sớm các bất thường (nếu có) và điều trị hiệu quả.
Bảo Trâm – Mi Nguyễn
*Tên nhân vật đã được thay đổi
| Độc giả gửi câu hỏi về bệnh ung thư tại đây để bác sĩ giải đáp |
Nguồn: https://vnexpress.net/tuong-dot-quy-hoa-ung-thu-phoi-di-can-4992382.html

