Chuyến du lịch dang dở vì cú ngã bất ngờ tại Sa Pa
Bà Ronit Azar (58 tuổi, quốc tịch Israel) cùng chồng đến Việt Nam du lịch với kế hoạch tham quan nhiều địa danh nổi tiếng. Tuy nhiên, chuyến đi đã sớm bị gián đoạn bởi một tai nạn bất ngờ tại Sa Pa. Một buổi tối khi đi dạo gần khách sạn, vì không quen với địa hình dốc cao nên bà Ronit bất ngờ trượt ngã. Ký ức về cú ngã vẫn còn khiến bà bàng hoàng.
“Mọi việc diễn ra rất nhanh. Khi ngã, phần chân và vai của tôi đập mạnh xuống đất và ngay lập tức tôi cảm thấy đau dữ dội ở chân phải. Khi cố đứng lên, tôi nhận ra chân phải không thể trụ vững, cảm giác không chắc chắn, như đang trượt trong không khí. Tôi nghĩ rằng mình có thể đã bị gãy xương”, bà Ronit Azar nói.
Nhận thấy tình trạng chấn thương nghiêm trọng, bà Ronit cùng chồng được hướng dẫn viên đưa đến bệnh viện địa phương để sơ cứu. Kết quả X-quang xác định bà bị gãy cổ xương đùi phải và cần phải phẫu thuật thay khớp háng để tránh nhiễm trùng, di lệch xương…
Tuy nhiên, do cơ sở y tế địa phương không đủ điều kiện thực hiện phẫu thuật nên bà Ronit và chồng quyết định trở về Hà Nội tìm bệnh viện có chuyên môn, dịch vụ tốt để điều trị.
Qua giới thiệu, bà biết tới BVĐK Hồng Ngọc – Phúc Trường Minh là một trong những bệnh viện có chuyên khoa chấn thương chỉnh hình với đội ngũ bác sĩ giỏi chuyên môn, giàu kinh nghiệm nên quyết định tới đây thăm khám và phẫu thuật.
BVĐK Hồng Ngọc – Phúc Trường Minh với khoa Chấn thương chỉnh hình chuyên môn cao.
Khôi phục vận động sau 1 ngày nhờ thay khớp háng SuperPATH
Tại BVĐK Hồng Ngọc – Phúc Trường Minh, bà Ronit được TS.BS Lê Quang Huy – Trưởng khoa Ngoại Chấn thương chỉnh hình – Thần kinh sọ não trực tiếp thăm khám. Sau khi đánh giá toàn diện các triệu chứng kết hợp cùng kết quả trên phim chụp X-quang, bác sĩ xác định bà bị gãy kín cổ xương đùi phải và cần phẫu thuật thay khớp háng toàn phần không xi măng sử dụng loại khớp hai chuyển động để giảm đau, khôi phục cấu trúc và chức năng vận động.
Khi được bác sĩ thông báo cần phẫu thuật thay khớp háng, bà Ronit đã rất lo lắng bởi đây là ca đại phẫu đầu tiên trong đời, lại ở một đất nước xa lạ. Nhưng sau khi được bác sĩ Huy giải thích cặn kẽ về quy trình phẫu thuật, kỹ thuật mổ, loại khớp sẽ được sử dụng cùng khả năng hồi phục tối ưu, bà đã rất yên tâm, tin tưởng vào đội ngũ bác sĩ BVĐK Hồng Ngọc.
TS.BS Lê Quang Huy cho biết: “Với trường hợp này, chúng tôi lựa chọn thay khớp háng bằng kỹ thuật SuperPATH với nhiều ưu điểm: đường mổ nhỏ, ít xâm lấn, không cắt gân cơ, giúp hạn chế tổn thương mô mềm, giảm đau, cho phép vận động sau 1 ngày phẫu thuật. Ca mổ sử dụng loại khớp háng nhân tạo hai chuyển động có cấu tạo đặc biệt gồm hai lớp chỏm xương chuyển động bên trong ổ cối giúp tăng tầm vận động và độ linh hoạt của khớp háng, giảm nguy cơ trật khớp sau mổ”.
TS.BS Lê Quang Huy phẫu thuật thay khớp háng SuperPATH.
Cũng theo TS.BS Lê Quang Huy, khớp háng nhân tạo hai chuyển động thế hệ mới đã được ứng dụng rộng rãi tại châu Âu, có nhiều ưu điểm so với khớp thông thường. Khớp được thiết kế với hai lớp chỏm xương đùi bằng polyethylene và kim loại, giúp tăng biên độ dạng khớp háng thêm 20 độ, xoay 25 độ và gấp lên 30 độ.
Hai chỏm liên kết theo cơ chế “khóa bấm” tạo độ vững, cho phép vận động linh hoạt và hạn chế nguy cơ trật khớp sau mổ. Nhờ đó, bệnh nhân có thể sớm trở lại sinh hoạt tự nhiên như ngồi xổm, đạp xe hay khoanh chân…
Sau hơn 1 giờ, ca phẫu thuật diễn ra thành công, phần cổ xương đùi bị gãy được thay thế bằng khớp nhân tạo có độ bền cao, chịu lực tốt, phù hợp cho bệnh nhân duy trì vận động lâu dài.
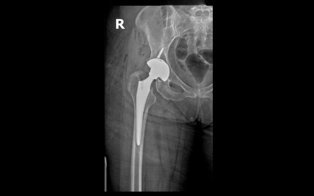
Phim chụp khớp háng của bệnh nhân Ronit sau phẫu thuật.
Bà Ronit và chồng bất ngờ trước tốc độ hồi phục vượt xa mong đợi. “Thật không thể tin được, những gì bác sĩ Huy tư vấn cho tôi đều đúng. Chỉ 1 ngày sau phẫu thuật tôi đã có thể vận động nhẹ nhàng, đứng dậy dưới sự hỗ trợ của nạng và sau 4 ngày, tôi đã tự chủ trong sinh hoạt. Tốc độ hồi phục thật khó tin, tôi mong có thể sớm xuất viện và trở lại cuộc sống bình thường”, bà bày tỏ.
Bà Ronit tập phục hồi chức năng chuyên sâu sau phẫu thuật.
Trường hợp của bà Ronit Azar cho thấy hiệu quả của kỹ thuật thay khớp hiện đại kết hợp cùng khớp háng nhân tạo thế hệ mới tiên tiến trong điều trị gãy cổ xương đùi, giúp tối ưu hiệu quả điều trị, tiết kiệm thời gian và chi phí cho bệnh nhân.
Thành công của ca phẫu thuật không chỉ khẳng định vị thế của khoa Ngoại Chấn thương chỉnh hình – Thần kinh sọ não nói riêng và BVĐK Hồng Ngọc – Phúc Trường Minh nói chung trong lĩnh vực chấn thương chỉnh hình và phục hồi chức năng xương khớp mà còn góp phần mang lại chất lượng sống tốt hơn cho người bệnh, bao gồm cả du khách quốc tế.
BVĐK Hồng Ngọc ứng dụng phương pháp thay khớp háng ít xâm lấn giúp bệnh nhân ít đau, đi lại sau 1-2 ngày mổ. Người bệnh có nhu cầu phẫu thuật thay khớp háng tại BVĐK Hồng Ngọc liên hệ hotline: 0912 002 131 hoặc 0949 646 556.
Nguồn: https://dantri.com.vn/suc-khoe/benh-nhan-israel-lay-lai-van-dong-nho-thay-khop-hang-superpath-20251210092412571.htm

