TP HCMBà Mỹ, 57 tuổi, 7 năm qua mắc bệnh xơ cứng bì do thừa collagen, nay biến chứng dẫn đến hoại tử ngón tay, tăng áp phổi.
TS.BS Nguyễn Phúc Tân, khoa Miễn dịch Lâm sàng, Bệnh viện Đa khoa Tâm Anh TP HCM, cho biết xơ cứng bì là bệnh tự miễn ít gặp và nguy hiểm, xảy ra khi hệ miễn dịch rối loạn, tấn công các mô khỏe mạnh. Tình trạng viêm mạn tính kích thích các tế bào sợi tăng sinh collagen và gây xơ hóa mô. Xơ hóa ảnh hưởng tới da, mạch máu và nhiều cơ quan nội tạng (phổi, tim, thận…), làm dày, cứng mô và giảm chức năng cơ quan.
Bà Mỹ được chẩn đoán mắc bệnh xơ cứng bì dạng toàn thể từ năm 2018, điều trị tại nhiều cơ sở y tế nhưng bệnh vẫn tiến triển nặng. Bà từng nhập viện vì khó thở, đau buốt đầu ngón tay, ho kéo dài. Ngón tay, chân căng cứng, co rút, đầu ngón dễ tím tái, đau buốt từng cơn, 4 ngón tay đã hoại tử phải cắt cụt.
Bác sĩ Tân chỉ định bà Mỹ tầm soát sức khỏe toàn diện. Đây là bước bắt buộc với người mắc xơ cứng bì toàn thể. Kết quả cho thấy bệnh đã âm thầm phá hoại nhiều cơ quan, nghiêm trọng nhất là tăng áp động mạch phổi nặng với mức PAPs:78mmHg, cao gần gấp 3 lần bình thường và tổn thương phổi kẽ khiến giảm trao đổi oxy máu, gây khó thở dai dẳng. Người bệnh cũng bị co thắt mạch máu ngoại biên (Raynaud) mức độ nặng, là nguyên nhân trực tiếp gây hoại tử đầu ngón tay do máu không thể nuôi dưỡng các đầu chi.
Bà nặng 35 kg, thực quản bị giãn đoạn ngực và giảm nhu động – biến chứng điển hình của xơ cứng bì khiến thức ăn khó di chuyển xuống dạ dày, gây triệu chứng nghẹn, ứ đọng và trào ngược axit mạn tính. Theo bác sĩ Tân, đây là lý do bà Mỹ sụt cân và suy kiệt kéo dài. Nếu không được theo dõi và điều trị đúng phác đồ, xơ cứng bì có thể tiến triển tới giảm chức năng phổi nghiêm trọng do tổn thương phổi kẽ và suy tim phải thứ phát do tăng áp động mạch phổi.
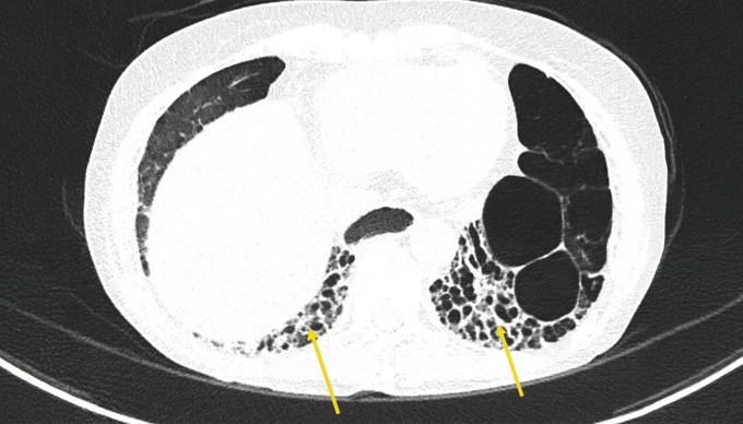
Ảnh CT phổi cho thấy bà Mỹ bị giãn phế quản và tổn thương mô kẽ dạng tổ ong hai đáy phổi và nhiều tổn thương khác. Ảnh: Bệnh viện Đa khoa Tâm Anh
Hiện chưa có phương pháp điều trị khỏi bệnh xơ cứng bì, nhưng thuốc có thể giúp kiểm soát các triệu chứng và ngăn ngừa biến chứng. Bác sĩ Tân xây dựng phác đồ điều trị đa hướng để kiểm soát căn nguyên bệnh cũng như các biến chứng gồm corticoid liều thấp, thuốc ức chế miễn dịch để giảm hoạt động tự miễn, thuốc giãn mạch ngoại biên và giãn mạch phổi nhằm kiểm soát tăng áp phổi, phòng suy tim. Song song, bà Mỹ được điều trị trào ngược dạ dày – thực quản, chăm sóc da, phục hồi tuần hoàn đầu ngón tay để tránh hoại tử mới. Người bệnh được điều trị nội khoa nâng thể trạng và theo dõi sát diễn tiến bệnh. Khi tình trạng hô hấp cải thiện, bà tái khám và làm các xét nghiệm chuyên sâu mỗi tháng.
Trong một năm điều trị, tình trạng của bà Mỹ không ít lần diễn biến xấu, các đợt ho khan tăng lên khiến nguy cơ xơ hóa phổi kẽ tiến triển, hay các cơn Raynaud bùng phát làm tăng nguy cơ loét và hoại tử đầu chi. Mỗi lần xuất hiện biến chứng, bệnh nhân nhập viện để bác sĩ đánh giá lại chức năng hô hấp, tuần hoàn ngoại biên và điều chỉnh phác đồ điều trị dựa trên mức độ tổn thương phổi kẽ, mức độ tăng áp động mạch phổi, nguy cơ hoại tử đầu chi.
Hiện tình trạng của bà Mỹ cải thiện rõ rệt, tăng áp phổi được kiểm soát, các đầu ngón không còn tím tái, da mềm hơn, không xuất hiện ổ hoại tử mới và bệnh không tiến triển nặng. Người bệnh chỉ cần tái khám mỗi 2 tháng và điều trị duy trì.
Bà Mỹ chờ tái khám tại Bệnh viện Đa khoa Tâm Anh. Ảnh: Bệnh viện cung cấp
Bệnh xơ cứng bì có thể do sự kết hợp giữa rối loạn miễn dịch, yếu tố di truyền làm tăng nguy cơ và các tác nhân môi trường. Để giảm nguy cơ biến chứng, bác sĩ Tân khuyến nghị người bệnh duy trì thói quen sống lành mạnh, không hút thuốc, giữ ấm tay chân, ăn uống điều độ và chia nhỏ bữa, vận động nhẹ nhàng, theo dõi huyết áp định kỳ nhằm phát hiện biến chứng thận sớm.
Khi xuất hiện các dấu hiệu như lạnh buốt đầu ngón tay, da dày cứng, nuốt nghẹn kéo dài, ợ chua mạnh, ho dai dẳng hoặc khó thở không rõ nguyên nhân, người bệnh nên khám chuyên khoa Miễn dịch Lâm sàng để được xác định đúng bệnh và điều trị phù hợp.
Minh Hương
* Tên nhân vật đã được thay đổi
Nguồn: https://vnexpress.net/benh-xo-cung-bi-gay-tang-ap-phoi-hoai-tu-ngon-tay-4989375.html

