Đó là trường hợp của một bé trai 6 tháng tuổi, ngụ tỉnh Gia Lai. Khai thác bệnh sử, một tuần trước khi nhập viện, vùng bụng của bé nhô to bất thường kèm theo nôn ói. Phát hiện bất thường, gia đình đưa bé đến kiểm tra ở bệnh viện tuyến dưới, sau đó tiếp tục chuyển đến Bệnh viện Nhi đồng 2 điều trị.
Tại đây, bệnh nhi được chỉ định siêu âm, CT Scan và làm xét nghiệm máu, cho kết quả chẩn đoán mắc u tế bào mầm sau phúc mạc, phải nhập viện điều trị khẩn. Tại khoa Ung bướu huyết học, các bác sĩ lên phác đồ 4 chu kỳ hoá trị để làm giảm kích thước của khối u cho bệnh nhi.
Tuy nhiên, sau những lần hóa trị đầu tiên, tình trạng bệnh nhi không thuyên giảm mà kích thước khối u vẫn tiếp tục tăng lên, gây sức ép cho các cơ quan khác và khiến bệnh nhi ngày càng khó thở.
Trước dấu hiệu của hội chứng u quái tăng trưởng cực kỳ hiếm gặp, bác sĩ Trúc đã hội chẩn cùng các giáo sư quốc tế, để đi đến quyết định phẫu thuật lấy khối u.
Các bác sĩ phẫu thuật lấy u quái cho bệnh nhi (Ảnh: BV).
Trước mổ, các bác sĩ đã phân tích hình ảnh CT, ghi nhận khối u che khuất tĩnh mạch chủ dưới (tĩnh mạch lớn nhất của vùng bụng) và cuống mạch máu thận, đồng thời liên quan đến các cấu trúc mạch máu phức tạp. Ê-kíp điều trị đã cẩn thận bóc tách để bảo tồn, tránh gây tổn thương tất cả mạch máu quan trọng của bé.
Trải qua hơn 5 giờ phẫu thuật, khối u nặng 1,3kg đã được lấy ra trọn vẹn. Sau mổ, bệnh nhi dần hồi phục để tiếp tục các đợt hoá trị theo phác đồ.
Theo bác sĩ Trúc, bệnh nhi mang khối u quái có thành phần ác tính phát triển với kích thước lớn, gây chèn ép các bộ phận trong ổ bụng. So với các vị trí và cơ quan khác, u ở sau phúc mạc như trên thuộc trường hợp rất ít gặp.
Khối u quái sau khi được lấy ra khỏi cơ thể bé trai (Ảnh: BV).
“Hàng năm, Bệnh viện Nhi đồng 2 vẫn thường xuyên tiếp nhận và điều trị các trường hợp u quái, chiếm đa số là u lành tính. Riêng trường hợp này, u quái có thành phần ác tính và có khả năng kháng lại thuốc hoá trị. Do đó, việc theo dõi sát và kịp thời tình trạng của trẻ là rất quan trọng”, bác sĩ Trúc nói.
Các bác sĩ khuyến cáo, không phải tất cả trường hợp xuất hiện khối lớn ở vùng bụng đều là u quái hay ung thư. Khi trẻ có bất kỳ triệu chứng bất thường nào, phụ huynh nên đưa con em đến cơ sở y tế để được bác sĩ chuyên khoa nhi kịp thời thăm khám và điều trị.
Cứu người đàn ông mang u gan cực kỳ phức tạp
Ngày 11/3, Bệnh viện Quân y 175 (Bộ Quốc phòng) cho biết, các bác sĩ nơi này đã phẫu thuật thành công cho bệnh nhân mang u gan đặc biệt phức tạp.
Theo bệnh sử, ông N.V.S. (63 tuổi, ngụ tỉnh Đồng Nai) có tiền sử viêm gan B và hút thuốc lá nhiều năm. Đầu năm 2024, trong lần khám sức khỏe tổng quát, người đàn ông được ghi nhận một tổn thương nhỏ trên siêu âm gan và được khuyến cáo theo dõi định kỳ.
Một năm sau, kết quả tái khám phát hiện bệnh nhân có khối u gan kích thước khoảng 4cm. Đáng chú ý, bệnh nhân đã đến khám tại hai bệnh viện lớn tại TPHCM nhưng đều được tư vấn không phẫu thuật, do khối u nằm ở vị trí quá phức tạp, nguy cơ tai biến cao.
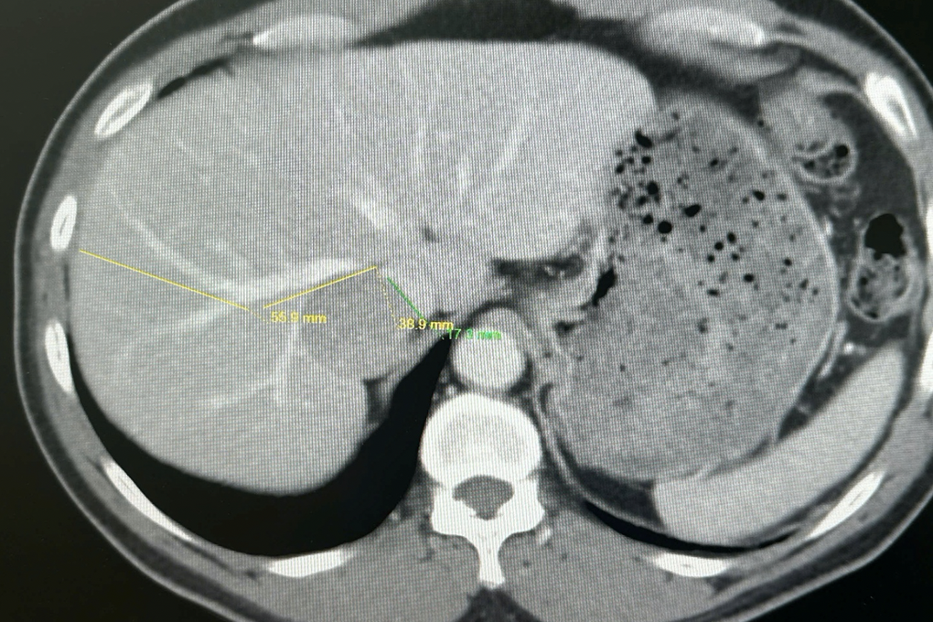
Khi vào Bệnh viện Quân y 175, qua xét nghiệm và chẩn đoán hình ảnh chuyên sâu, các bác sĩ xác định khối u gan lớn nằm ở vị trí hiểm hóc.
Khối u bị bao quanh và chèn ép nhiều mạch máu quan trọng của gan, khiến việc tiếp cận và cắt bỏ hoàn toàn trở nên rất khó khăn. Chỉ cần một sai sót nhỏ trong quá trình phẫu thuật cũng có thể gây rách mạch máu lớn, dẫn đến chảy máu ồ ạt và đe dọa trực tiếp tính mạng người bệnh.
Khối u gan của người đàn ông bị vây quanh bởi các mạch máu quan trọng (Ảnh: BV).
Sau khi tiến hành hội chẩn đa chuyên khoa, các bác sĩ Bệnh viện Quân y 175 đã xây dựng phương án phẫu thuật chi tiết, ứng dụng các kỹ thuật chẩn đoán hình ảnh hiện đại nhằm đánh giá chính xác mối liên quan giữa khối u và hệ thống mạch máu. Đồng thời, ê-kíp cũng chuẩn bị chiến lược kiểm soát mạch máu chặt chẽ để đảm bảo an toàn cho người bệnh.
Trải qua hơn 2,5 giờ, ê-kíp phẫu thuật gan mật của Bệnh viện Quân y 175 đã cắt bỏ hoàn toàn khối u, không ghi nhận biến chứng trong quá trình phẫu thuật.
Sau mổ, bệnh nhân hồi phục tốt, chức năng gan ổn định, diễn tiến hậu phẫu thuận lợi và được xuất viện sau một tuần điều trị.
Nguồn: https://dantri.com.vn/suc-khoe/bung-dot-ngot-nho-to-be-so-sinh-phat-hien-khoi-u-quai-13kg-cuc-hiem-gap-20260312003054338.htm

