Thứ ba, Tháng ba 3, 2026
HomeSức KhỏeCa mổ robot chữa bệnh hiếm gặp, lần đầu tiên thực hiện...

Ca mổ robot chữa bệnh hiếm gặp, lần đầu tiên thực hiện ở Việt Nam

Mổ robot cứu người đàn ông mắc căn bệnh hiếm gặp

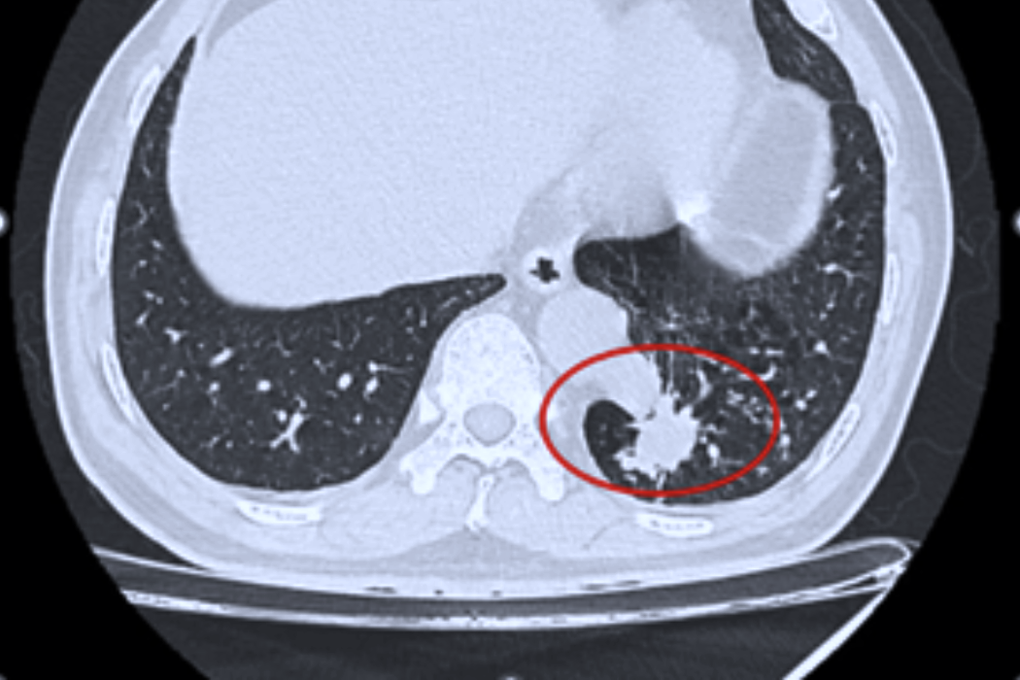
Ông N.N.T. (56 tuổi, ngụ tỉnh Tây Ninh) tình cờ phát hiện tổn thương thùy dưới phổi trái khi đi khám tổng quát. Tại Bệnh viện Bình Dân (TPHCM), các bác sĩ chẩn đoán ông có khối phổi biệt lập nội thùy, kích thước 23×26 mm.

Đáng chú ý, động mạch nuôi khối này xuất phát trực tiếp từ động mạch chủ xuống với đường kính lên tới 17mm – là kích thước rất lớn và đầy rủi ro nếu người bệnh không được điều trị.

Ca mổ robot chữa bệnh hiếm gặp, lần đầu tiên thực hiện ở Việt Nam - 1

Kết quả chụp CT vùng ngực của bệnh nhân (Ảnh: BV).

ThS.BSCKII Nguyễn Văn Việt Thành, Trưởng khoa Ngoại lồng ngực – Bướu cổ, cho biết khó khăn lớn nhất là mạch máu này to, dễ vỡ và rất dính do tình trạng nhiễm trùng mạn tính xung quanh. Một sai sót nhỏ cũng có thể dẫn đến biến cố chảy máu không thể kiểm soát.

Trước thách thức đó, sau hội chẩn toàn viện, ê-kíp điều trị đã quyết định chọn phẫu thuật robot.

Ca phẫu thuật diễn ra trong khoảng 120 phút và thực hiện suôn sẻ theo đúng kế hoạch. Phần phổi biệt lập được cắt trọn mà không gây tổn thương động mạch chủ ngực xuống, không có biến chứng chảy máu.

Vì không phải mở sườn và nhiều vị trí khác như mổ hở truyền thống, người bệnh ít đau hơn rất nhiều, giảm mất máu và rút ngắn thời gian nằm viện. Người đàn ông đã hồi phục nhanh chóng và được xuất viện sớm chỉ sau mổ 4 ngày.

Ca mổ robot chữa bệnh hiếm gặp, lần đầu tiên thực hiện ở Việt Nam - 2

Bệnh nhân hồi phục nhanh sau khi được mổ robot (Ảnh: BV).

Phổi biệt lập – mối nguy tiềm tàng trong lồng ngực

Nguồn: https://dantri.com.vn/suc-khoe/ca-mo-robot-chua-benh-hiem-gap-lan-dau-tien-thuc-hien-o-viet-nam-20260303083626892.htm

DanTri Logo

Hello Mình là Cải

Theo dõi
Thông báo của
0 Góp ý
Mới nhất
Cũ nhất Được bỏ phiếu nhiều nhất
Phản hồi nội tuyến
Xem tất cả bình luận

Tin Nóng Hôm Nay