Thứ tư, Tháng hai 11, 2026
HomeSức KhỏeĐốt sóng cao tần giảm đau do thoát vị đĩa đệm

Đốt sóng cao tần giảm đau do thoát vị đĩa đệm

Hà NộiAnh Hiếu, 39 tuổi, thoát vị đĩa đệm 10 năm, thường tái phát, nay bác sĩ đốt sóng cao tần giúp thu nhỏ nhân nhầy giảm chèn ép rễ thần kinh, giảm đau.

Anh Hiếu từng điều trị phục hồi chức năng, song vẫn tái phát gây tê bì chân phải, các cơn đau lan xuống mông, đùi, tăng dần khi đứng lâu.

BS.CK2 Lê Văn Khánh, Trung tâm Chẩn đoán Hình ảnh và Điện quang Can thiệp, Bệnh viện Đa khoa Tâm Anh Hà Nội, chẩn đoán anh Hiếu bị thoái hóa đốt sống – đĩa đệm cột sống thắt lưng, thoát vị đĩa đệm L4/5, L5/S1, chèn ép rễ thần kinh L5, S1 bên phải. Tình trạng thoát vị đĩa đệm chèn ép rễ thần kinh, gây đau dai dẳng.

Bác sĩ chỉ định đốt sóng cao tần (RFA) bằng nhiệt để làm phần nhân nhầy thoát vị teo nhỏ lại, giảm chèn ép thần kinh và tủy sống. Phương pháp này có thể giữ nguyên cấu trúc chính của đĩa đệm. Dưới hướng dẫn của cắt lớp vi tính, bác sĩ định vị kim đốt chính xác vào trung tâm đĩa đệm để tiến hành đốt sóng cao tần phần nhân nhầy bị thoát vị.

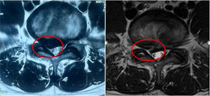
Kết quả chụp cho thấy phần thoát vị co lại sau đốt sóng cao tần. Ảnh: Bệnh viện Đa khoa Tâm Anh

Khối thoát vị (bên phải) sau khi đốt sóng cao tần co lại so với trước khi can thiệp (bên trái). Ảnh: Bệnh viện Đa khoa Tâm Anh

Sau tháng đầu tiên can thiệp, các cơn đau giảm, từ tháng thứ 2, thứ 3, cơn đau gần như không còn, anh Hiếu có thể đi lại bình thường. Tái khám sau ba tháng can thiệp, khối thoát vị đã co hồi được một phần, không còn hình ảnh chèn ép rễ thần kinh rõ rệt.

Theo bác sĩ Khánh, so với các phương pháp điều trị truyền thống, kỹ thuật đốt sóng cao tần (RFA) có nhiều ưu điểm như ít xâm lấn, vết kim trên da chỉ khoảng 1 cm, ít biến chứng. Người bệnh hồi phục nhanh, không cần nằm viện lâu, có thể xuất viện ngay trong ngày, giảm đau ngay sau khi can thiệp.

Đốt sóng cao tần được ứng dụng đa dạng, trong đó chỉ định trong trường hợp thoát vị đĩa đệm mức độ nhẹ đến trung bình, khối thoát vị đĩa đệm chưa di trú, chưa bị rách bao xơ, đã điều trị bảo tồn như dùng thuốc, vật lý trị liệu nhưng không hiệu quả hoặc người bệnh không muốn hoặc không đủ điều kiện phẫu thuật. Nếu người bệnh nặng cần được phẫu thuật.

Bác sĩ Khánh thực hiện đốt sóng cao tần cho người bệnh. Ảnh: Bệnh viện Đa khoa Tâm Anh

Bác sĩ Khánh thực hiện đốt sóng cao tần cho người bệnh. Ảnh: Bệnh viện Đa khoa Tâm Anh

Bác sĩ Khánh khuyên người bị thoát vị đĩa đệm cần duy trì cân nặng hợp lý, tránh béo phì, tập thể dục thường xuyên, chú ý tư thế ngồi làm việc, tránh cúi gập đột ngột hay mang vác sai cách nhằm hạn chế biến chứng. Người bệnh cũng nên ăn uống đủ chất, tăng cường thực phẩm giàu canxi, vitamin D, protein, omega-3. Hạn chế thực phẩm nhiều đường, muối, đồ chiên rán, thuốc lá và rượu bia. Nếu xuất hiện các triệu chứng như đau vùng thắt lưng, tê bì tay chân, giảm khả năng vận động… nên đến bệnh viện để bác sĩ kiểm tra, đánh giá chính xác tình trạng đĩa đệm, điều trị phù hợp.

Thuận Lê

*Tên bệnh nhân đã được thay đổi

Nguồn: https://vnexpress.net/dot-song-cao-tan-giam-dau-do-thoat-vi-dia-dem-4986642.html

VnExpress Logo

Hello Mình là Cải

Theo dõi
Thông báo của
0 Góp ý
Mới nhất
Cũ nhất Được bỏ phiếu nhiều nhất
Phản hồi nội tuyến
Xem tất cả bình luận

Tin Nóng Hôm Nay