Hà NộiBà Liên, 66 tuổi, ba tháng sau tai nạn giao thông đi khám mới biết đứt gân cơ vai.
Sau tai nạn, vai trái bà Liên sưng đau, nghỉ ngơi một tháng hết bầm tím nhưng vai vẫn yếu, không thể giơ tay quá đầu, thỉnh thoảng đau buốt, mất ngủ. Bà bóp thuốc đông y, tập vật lý trị liệu và tiêm nội khớp không bớt, đến Bệnh viện Đa khoa Tâm Anh Hà Nội khám.
BS.CKII Trần Tuấn Anh, khoa Chấn thương chỉnh hình, cho biết ảnh chụp X-quang khớp vai và cộng hưởng từ MRI phát hiện bà bị đứt gân cơ vai. Đây là một trong 4 cơ gắn với chóp xoay làm nhiệm vụ ổn định, kiểm soát chuyển động khớp vai. Bệnh nhân bị hẹp khoang dưới mỏm cùng vai, hai đầu xương vai và xương cánh tay quá sát nhau làm gân cơ chóp xoay bị chèn ép dẫn đến viêm, phát triển thành viêm bao hoạt dịch.
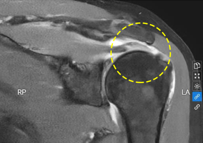
Phim chụp MRI cho thấy gân trên gai của bà Liên bị đứt. Ảnh: Bệnh viện Đa khoa Tâm Anh
Bác sĩ Tuấn Anh chỉ định mổ nội soi tạo hình mỏm cùng và khâu gân đứt vào chóp xoay cho bà Liên. Bác sĩ mở đường mổ nhỏ phía sau khớp, tiếp cận để mài rộng, loại bỏ gai xương thừa, làm trơn láng mặt dưới mỏm cùng vai và tạo hình. Kỹ thuật này nhằm giảm ma sát khi cánh tay vận động, tăng thể tích khoang dưới mỏm cùng vai, giúp gân cơ chóp xoay hoạt động tự do, tránh bị kẹt khi bệnh nhân dang tay, giảm nguy cơ viêm gân gây đứt, rách tái phát sau này. Kế tiếp, bác sĩ dùng vít neo khâu cố định trở lại điểm bám gân chóp xoay bị đứt để giảm đau, giảm lượng máu mất, sẹo nhỏ thẩm mỹ, bệnh nhân hồi phục nhanh chóng.
Bác sĩ Tuấn Anh lưu ý với tổn thương đứt gân cơ vai, sau mổ người bệnh cần tuân thủ phác đồ tập phục hồi chức năng để tránh gân tái đứt. Cụ thể, trong 10-12 tuần đầu, bà Liên chỉ nên tập phục hồi chức năng thụ động, không tự dùng sức cơ vai để phát lực. Máy gấp duỗi thụ động (CMP) và chuyên viên vật lý trị liệu giúp bệnh nhân di chuyển cánh tay nhẹ nhàng, tránh kéo căng gân, làm bung neo khâu.
Ngoài thời gian tập luyện và vệ sinh cá nhân, bệnh nhân nên đeo áo desault toàn thời gian để bảo vệ gân sau khi khâu phục hồi, tránh các cử động gây đứt lại gân. Sau 12-14 tuần, bệnh nhân có thể bỏ áo này và tập các bài tập chủ động, tự mình phát lực cơ vai. Đa số bệnh nhân phẫu thuật neo cố định gân cơ trên gai phục hồi hoàn toàn sau 9-12 tháng.
Bác sĩ Tuấn Anh phẫu thuật nội soi cho bà Liên. Ảnh: Bệnh viện Đa khoa Tâm Anh
Đứt gân cơ vùng vai thường hay gặp ở người lớn tuổi do thoái hóa mạn tính. Đứt gân cấp tính thường gặp trong chấn thương thể thao, tai nạn lao động, tai nạn giao thông ở người trẻ hoặc trong tai nạn sinh hoạt với người già.
Khi có dấu hiệu yếu vai, không thể nâng tay quá đầu, đau ở vùng vai, đau tăng khi giơ tay ngang, lên cao hoặc nằm nghiêng một bên, người bệnh nên đi khám ngay. Nhiều bệnh nhân không biết mình bị rách gân cơ trên gai, tự uống thuốc, xoa bóp, bấm huyệt làm tình trạng bệnh nặng hơn, bỏ lỡ giai đoạn “vàng” điều trị, theo bác sĩ Tuấn Anh.
Thanh Long
*Tên bệnh nhân đã được thay đổi
Nguồn: https://vnexpress.net/dut-gan-co-vai-ba-thang-ma-khong-biet-4964055.html

