Hà NộiAnh Thắng, 45 tuổi, có nốt mờ ở phổi, sau hai năm tiến triển thành ung thư giai đoạn sớm.
Anh Thắng hút thuốc lào hơn 20 năm, gia đình có người ung thư phổi – anh thuộc nhóm nguy cơ mắc bệnh này. Năm 2023, anh ho kéo dài, khó thở nhẹ, được chẩn đoán viêm phế quản mạn, CT phát hiện nốt mờ nhỏ phổi phải, theo dõi định kỳ.
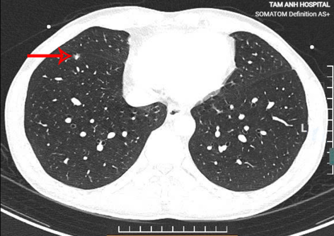
TS.BS Vũ Hữu Khiêm, Trưởng khoa Ung bướu, cho biết sau hai năm, nốt phổi của anh Thắng tiến triển từ nguy cơ thấp lên nguy cơ cao nhất (4X) trên thang xếp độ LungRADS. Nốt thùy dưới phổi có phần đặc, kích thước 4,5×7,6 mm, bờ tua gai, co kéo nhẹ màng phổi rãnh liên thùy.
Nốt phổi nguy cơ cao của anh Thắng trên phim chụp CT liều thấp. Ảnh: Bệnh viện Đa khoa Tâm Anh
Các bác sĩ hội chẩn liên chuyên khoa chỉ định nội soi cắt một phần thùy phổi chứa tổn thương, kết quả sinh thiết lạnh tức thời trong mổ và giải phẫu mô bệnh học hậu phẫu cho thấy anh Thắng bị ung thư biểu mô tuyến xâm nhập tối thiểu (pT1mi) – ung thư phổi không tế bào nhỏ giai đoạn rất sớm. Người bệnh được phẫu thuật triệt căn, không cần hóa hay xạ trị bổ trợ.
Tái khám sau một năm điều trị, sức khỏe anh Thắng ổn định, không còn triệu chứng ho, khó thở. Kết quả chụp CT liều thấp đầu năm nay không phát hiện tái phát. Theo tiến sĩ Khiêm, ung thư phổi giai đoạn rất sớm như anh Thắng có tỷ lệ tái phát sau phẫu thuật triệt căn thấp, 100% người bệnh sống sau 5 năm, 98% sống trên 10 năm.
Nốt phổi là một dạng tổn thương nhỏ trong nhu mô phổi, thường được phát hiện tình cờ khi chụp X-quang, CT. Nốt phổi nhỏ, mờ, bờ nhẵn, không phát triển theo thời gian thường do nhiễm trùng như viêm phổi, lao, nấm, viêm, có nguy cơ ác tính thấp. Nốt xuất hiện ở phổi có bờ tua gai, co kéo màng phổi, có thể tăng kích thước theo thời gian, nguy cơ ác tính cao hơn. Tùy tình trạng người bệnh, bác sĩ chỉ định sinh thiết, nội soi phế quản hoặc phẫu thuật nội soi kết hợp sinh thiết lạnh tức thì, quyết định cắt thùy phổi triệt căn nếu phát hiện ung thư.
Anh Thắng chụp CT liều thấp với máy Somatom Force VB30 để theo dõi hậu phẫu. Ảnh: Bệnh viện Đa khoa Tâm Anh
Globocan năm 2022 ghi nhận hơn 24.400 ca mắc mới và gần 22.600 ca tử vong do ung thư phổi tại Việt Nam, thứ hai sau ung thư gan. Tiến sĩ Khiêm khuyên người có nguy cơ ung thư phổi cao như trên 50 tuổi, hút thuốc lá hơn 20 năm, từng có người thân mắc bệnh nên tầm soát ung thư phổi sớm. Khi phát hiện các dấu hiệu bất thường như nốt kính mờ, nốt đặc hay bán đặc, cần theo dõi sát, tái khám định kỳ theo chỉ định của bác sĩ để kịp thời phát hiện bệnh tiến triển.
Thanh Long
*Tên bệnh nhân đã được thay đổi
| Độc giả đặt câu hỏi về bệnh ung thư tại đây để bác sĩ giải đáp |
Nguồn: https://vnexpress.net/not-phoi-tien-trien-ung-thu-sau-hai-nam-5011279.html

