TP HCMAnh Thời, 38 tuổi, đau bụng uống thuốc không bớt, bác sĩ phát hiện túi giả phình mạch máu xuất hiện ở nhiều vị trí trong ổ bụng.
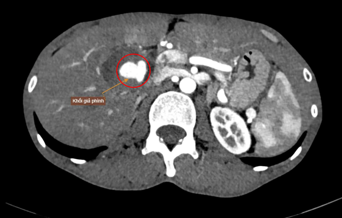
Kết quả chụp CT ổ bụng có tiêm thuốc cản quang của anh Thời tại Bệnh viện Đa khoa Tâm Anh TP HCM cho thấy nhiều túi giả phình mạch máu tại các vị trí như động mạch gan, vùng dạ dày, thận, thắt lưng. Trong đó, một khối giả phình lớn nằm tại vùng rốn gan, xuất phát từ nhánh động mạch gan phải, kích thước 40×40×65 mm chèn ép các cấu trúc lân cận, gây rối loạn tưới máu nhu mô gan và đè ép tĩnh mạch thận phải.
ThS.BS.CKI Phó Thiên Phước, khoa Cấp cứu, cho biết túi giả phình mạch máu xảy ra khi thành mạch bị rách hoặc tổn thương, khiến máu thoát ra ngoài và được mô xung quanh giữ lại, tạo thành túi máu bất thường. Do không còn được bảo vệ bởi thành mạch, túi giả phình rất dễ vỡ, nhất là khi kích thước lớn hoặc nằm ở những vị trí quan trọng như gan, thận, dạ dày.
Khối giả phình lớn nguy cơ vỡ trên hình chụp CT. Ảnh: Bệnh viện Đa khoa Tâm Anh
Sau hội chẩn, các bác sĩ can thiệp mạch cho người bệnh thay vì phẫu thuật mở bụng nhiều rủi ro. Dưới hướng dẫn của hệ thống chụp mạch số hóa xóa nền (DSA), các bác sĩ luồn vi ống thông qua hệ thống động mạch, tiếp cận chính xác túi giả phình tại gan. Êkíp sử dụng các coils (vòng xoắn kim loại) kết hợp keo sinh học chuyên dụng để nút mạch chọn lọc nhằm bít túi giả phình, ngăn dòng máu tiếp tục chảy vào vùng tổn thương, bảo tồn các nhánh nuôi gan lành.
BS.CKI Nguyễn Trung Đức, Đơn vị Can thiệp nội mạch, cho biết người bệnh có nhiều túi giả phình rải rác, thành mạch yếu, kèm tụ máu và biến dạng giải phẫu vùng rốn gan, khiến quá trình can thiệp khó khăn. Hình ảnh kiểm tra sau thủ thuật cho thấy túi giả phình tại gan đã được tắc hoàn toàn.
Bác sĩ Đức (phải) cùng êkíp can thiệp bít túi giả phình đã vỡ cho anh Thời. Ảnh: Bệnh viện Đa khoa Tâm Anh
Sau can thiệp, anh Thời giảm đau bụng, chức năng tưới máu gan cải thiện. Tái khám sau khi xuất viện, kết quả siêu âm Doppler ổ bụng cho thấy túi giả phình động mạch gan được can thiệp hiệu quả, không ghi nhận dòng máu đi vào túi phình.
Anh Thời có biểu hiện giả phình mạch máu đa ổ, bác sĩ Đức nghi ngờ liên quan đến bất thường mô liên kết hoặc suy yếu thành mạch nguyên phát. Vì vậy, những túi giả phình còn lại ở dạ dày, thận, thắt lưng vẫn tiềm ẩn nguy cơ biến chứng. Người bệnh cần theo dõi lâu dài để đánh giá nguy cơ biến chứng và can thiệp dự phòng bằng nút mạch hoặc điều trị nội khoa phù hợp, phòng ngừa nguy cơ vỡ.
Bác sĩ Đức khuyến cáo những người có dấu hiệu bất thường như đau bụng kéo dài nên đi khám để được chẩn đoán nguyên nhân.
Nhật Thành
*Tên người bệnh đã được thay đổi
| Độc giả đặt câu hỏi về bệnh tiêu hóa tại đây để bác sĩ giải đáp |
Nguồn: https://vnexpress.net/tui-gia-phinh-mach-mau-trong-o-bung-nguoi-dan-ong-5010782.html

