TP HCMAnh Ngọc, 39 tuổi, đau quặn bụng, sút 12 kg trong hai tháng, mất ngủ, bác sĩ chẩn đoán ung thư đại tràng đã di căn gan.
Anh Ngọc từng được chẩn đoán mô gan sung huyết lành tính, khi cơn đau nặng dần và đi ngoài phân lỏng, đến Bệnh viện Đa khoa Tâm Anh TP HCM kiểm tra. Kết quả nội soi đại trực tràng cho thấy một số polyp, khối u sùi lớn ở manh tràng – đại tràng lên gây biến dạng và hẹp van hồi – manh tràng khiến ống soi không thể đi qua.
Giải phẫu bệnh xác định ung thư biểu mô tuyến xâm nhập, biệt hóa vừa. Tiến sĩ, bác sĩ Phạm Công Khánh, Trưởng khoa Gan – Mật – Tụy, Trung tâm Nội soi và Phẫu thuật Nội soi Tiêu hóa, chẩn đoán ông anh Ngọc ung thư manh tràng – đại tràng lên giai đoạn muộn, di căn gan tại hạ phân thùy ba.
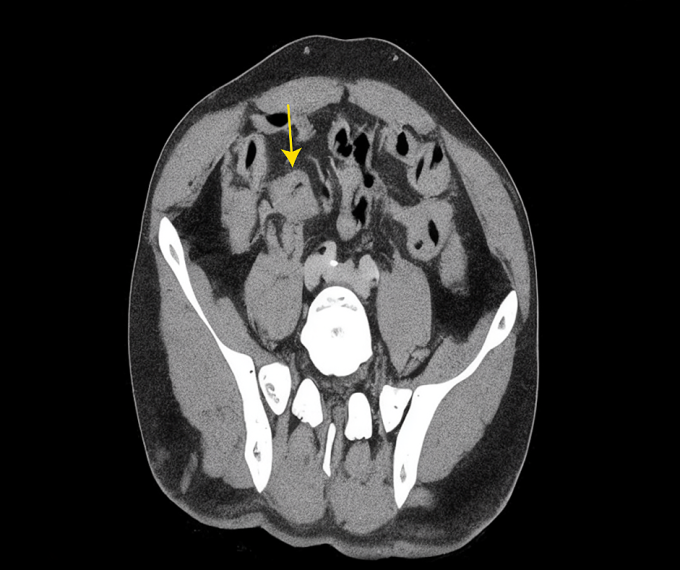
Chụp CT cho thấy khối u ở gan (mũi tên vàng). Ảnh: Bệnh viện Đa khoa Tâm Anh
Theo bác sĩ Khánh, thông thường ung thư đại trực tràng đã di căn gan ít có khả năng phẫu thuật. Tuy nhiên, trường hợp này khối u gan di căn khu trú ở thùy trái gan nên vẫn có thể cắt bỏ hoàn toàn. “Nếu phẫu thuật, tỷ lệ sống sau 5 năm của bệnh nhân có thể 40-60%”, bác sĩ Khánh nói.
Sau hội chẩn, các bác sĩ quyết định phẫu thuật đồng thời cắt đại tràng phải, nạo vét hạch và cắt khối u gan di căn trong cùng một cuộc mổ. Mổ “2 trong 1” giúp bệnh nhân chỉ trải qua một lần gây mê, rút ngắn thời gian hồi phục, sớm hóa trị bổ trợ, đồng thời giảm số lần nằm viện.
Bác sĩ Khánh (phải) đang cắt hai khối u trong cùng một cuộc mổ. Ảnh: Bệnh viện Đa khoa Tâm Anh
Khi mổ, êkíp ghi nhận bụng người bệnh trướng nhiều, các quai ruột non giãn lớn, không có không gian để mổ nội soi nên chuyển sang mổ mở. Khối u manh tràng – đại tràng lên xâm lấn thanh mạc gây tắc hoàn toàn van hồi – manh tràng, kèm nhiều hạch vùng.
Bác sĩ cắt ngang hồi tràng và đại tràng sau đó nối hai cơ quan lại bằng máy khâu nối. Tiếp đến, êkíp cắt nhu mô gan, kẹp và cắt cuống gan hạ phân thùy 2-3 cùng tĩnh mạch gan trái.
Hậu phẫu, anh Ngọc hồi phục tốt, không có biến chứng nhiễm trùng hay suy gan. Người bệnh có thể đi lại sau hai ngày, ăn uống được, xuất viện sau 5 ngày. Kết quả giải phẫu bệnh xác nhận ung thư đại tràng giai đoạn muộn có di căn gan. Bệnh nhân tiếp tục điều trị hóa trị tại chuyên khoa Ung bướu.
Ung thư đại trực tràng là một trong những ung thư phổ biến tại Việt Nam. Trước đây, bệnh thường gặp ở người trên 50 tuổi, nhưng có xu hướng trẻ hóa. Ung thư đại tràng diễn tiến âm thầm, không có dấu hiệu điển hình, dễ nhầm lẫn với các bệnh tiêu hóa thông thường.
Để phòng ngừa, người lớn nên khám sức khỏe định kỳ ít nhất một lần mỗi năm. Nội soi đại tràng khi có chỉ định để kịp thời phát hiện các polyp tiền ung thư (nếu có), từ đó phẫu thuật ngăn nguy cơ tiến triển thành ung thư. Nếu phát hiện bệnh ở giai đoạn sớm, người bệnh có thể điều trị bằng các kỹ thuật xâm lấn tối thiểu như cắt niêm mạc hoặc cắt tách dưới niêm mạc (EMR/ESD) mà không cần phẫu thuật lớn.
Quyên Phan
*Tên người bệnh đã được thay đổi
| Độc giả gửi câu hỏi về bệnh tiêu hóa tại đây để bác sĩ giải đáp |
Nguồn: https://vnexpress.net/ung-thu-dai-trang-di-can-gan-5057457.html

