TP HCMCông, 23 tuổi, đau bụng, rối loạn tiêu hóa nhiều tháng, bác sĩ chẩn đoán ung thư đại tràng giai đoạn muộn gây tắc ruột.
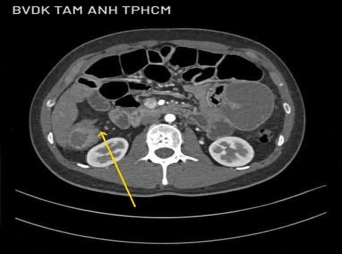
Anh Công ban đầu được chẩn đoán viêm dạ dày, ruột kích thích, điều trị bằng thuốc không đỡ, đến Phòng khám Đa khoa Tâm Anh Quận 7 chụp CT 100.000 lát cắt cho thấy đại tràng phải và các quai ruột giãn. Một đoạn ruột 5 cm mất cấu trúc, thâm nhiễm mỡ nhẹ xung quanh, nhiều hạch nhỏ xuất hiện quanh tổn thương. Ảnh nội soi cho thấy đại tràng góc gan có khối u sùi làm hẹp lòng, sinh thiết xác định ung thư đại tràng góc gan, tế bào ung thư xâm lấn sâu, rộng làm tắc ruột bệnh nhân.
Tiến sĩ, bác sĩ Đỗ Minh Hùng, Giám đốc Trung tâm Nội soi và Phẫu thuật Nội soi Tiêu hóa, Bệnh viện Đa khoa Tâm Anh, cho rằng anh Công phát hiện ung thư ở giai đoạn muộn nên khối u ở đại tràng ngang lớn gây tắc ruột, tế bào ung thư đã xâm lấn xuyên qua thành ruột đến bề mặt phúc mạc tạng, nghi ngờ di căn hạch bạch huyết.
Kết quả chụp CT 100.000 lát cắt cho thấy khối u lớn (mũi tên vàng) gần góc gan. Ảnh: Bệnh viện Đa khoa Tâm Anh
Sau hội chẩn, bác sĩ chỉ định phẫu thuật nội soi cắt đoạn đại tràng phải chứa u, kết hợp nạo vét hạch triệt bằng robot Da Vinci Xi. Quá trình phẫu thuật, êkíp ghi nhận toàn bộ ruột non và đại tràng giãn lớn, buộc phải đưa ruột non ra ngoài để hút giải áp. Sau khi tình trạng giãn ruột được cải thiện, các cánh tay robot được kết nối để phẫu thuật.
Dưới hình ảnh ba chiều phóng đại độ phân giải cao, phẫu thuật viên dùng robot để phẫu tích đại tràng phải và đại tràng ngang, bảo tồn các cấu trúc lân cận, tiếp theo, giải phóng đại tràng góc gan khỏi gan, tá tràng và thành bụng sau. Đoạn đại tràng chứa khối u được cắt bỏ. Sau khi cắt đoạn đại tràng tổn thương, bác sĩ nối hồi tràng – đại tràng ngang.
Bác sĩ điều khiển cánh tay robot Da Vinci Xi phẫu thuật cắt khối u, kết hợp nạo vét hạch cho anh Công. Ảnh: Bệnh viện Đa khoa Tâm Anh
Khối u lớn khó thực hiện nhưng phẫu thuật nội soi bằng robot ít xâm lấn, diện cắt an toàn, không còn u, nạo vét hạch triệt để, theo bác sĩ Hùng.
Kết quả giải phẫu bệnh là ung thư đại tràng giai đoạn 3C – giai đoạn tiến triển, khối u ở đại tràng phải xâm nhập dưới thanh mạc, 6 trong 51 hạch đã di căn, u xâm nhập mạch và quanh thần kinh nên người bệnh tiếp tục điều trị hóa trị tại khoa Ung bướu.
Theo bác sĩ Hùng, ung thư đại tràng có xu hướng gia tăng, ngày càng trẻ hóa. Các yếu tố thúc đẩy bệnh phát triển sớm như chế độ ăn uống ít chất xơ nhưng nhiều thịt đỏ và thực phẩm chế biến sẵn, hút thuốc lá, uống rượu bia, ít vận động…
Khi được phát hiện sớm, người bệnh có thể được điều trị triệt căn ung thư bằng các phương pháp ít xâm lấn như cắt hớt/tách niêm mạc (EMR/ESD), bảo tồn được ống tiêu hóa. Nếu phát hiện muộn phải điều trị đa mô thức, kết hợp giữa phẫu thuật, hóa trị, xạ trị, dùng thuốc nhắm trúng đích… khiến hiệu quả không cao, tiên lượng sống thấp.
Bác sĩ Minh Hùng khuyên mỗi người nên khám sức khỏe định kỳ ít nhất một lần mỗi năm hoặc khi có các dấu hiệu bất thường như rối loạn tiêu hóa, đau bụng (dù ở tuổi nào)… Áp dụng chế độ ăn uống lành mạnh, ngủ đủ giấc, lối sống khoa học góp phần tăng cường sức khỏe, giảm nguy cơ mắc bệnh.
Quyên Phan
*Tên người bệnh đã được thay đổi
| Độc giả gửi câu hỏi về bệnh tiêu hóa tại đây để bác sĩ giải đáp |
Nguồn: https://vnexpress.net/ung-thu-dai-trang-giai-doan-muon-o-tuoi-23-5005820.html

