TP HCMBà Liên, 60 tuổi, thi thoảng choáng váng, gần đây choáng thường xuyên hơn, bác sĩ phát hiện u não di căn từ phổi.
BS.CKI Hồ Thị Kim Anh, khoa Nội Tổng hợp, Phòng khám Đa khoa Tâm Anh Quận 7, cho biết tại thời điểm khám, bà Liên không có triệu chứng khó thở hay đau ngực, sinh hoạt hàng ngày chưa bị ảnh hưởng rõ rệt. Tuy nhiên, kết quả MRI não phát hiện nhiều khối tổn thương kèm phù quanh tổn thương.
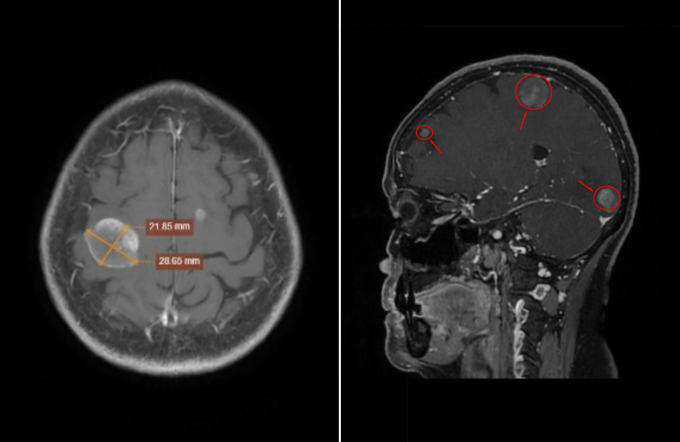
BS.CKII Nguyễn Văn Phúc, Trưởng khoa Chẩn đoán hình ảnh, xem hình ảnh MRI nghi ngờ các khối u thứ phát, tức có thể di căn từ cơ quan khác trong cơ thể. Một số khối có kích thước rõ như khối ở thùy chẩm phải khoảng 18×19 mm và khối ở thùy đỉnh phải khoảng 21×28 mm. Song, cấu trúc não vẫn giữ vị trí bình thường, chưa ghi nhận dấu hiệu chèn ép nên người bệnh chưa xuất hiện triệu chứng thần kinh rõ ràng.
Ảnh chụp MRI não bằng hệ thống 3 Tesla Signa Hero cho thấy các khối u di căn xuất hiện tại não. Ảnh: Phòng khám Đa khoa Tâm Anh Quận 7
Các xét nghiệm khác tiếp tục ghi nhận bất thường ở phổi. Hình ảnh X-quang cho thấy một vùng mờ ở thùy dưới phổi phải kèm nhiều nốt nhỏ rải rác ở hai phổi. Kết quả chụp CT phổi liều thấp cho thấy một khối u ở thùy dưới phổi phải kích thước khoảng 4,3×3,1×3,8 cm, kèm nhiều nốt nhỏ rải rác trong nhu mô phổi. Các xét nghiệm máu ghi nhận một số dấu ấn ung thư tăng.
Bà Lan được chụp CT phổi liều thấp. Ảnh: Phòng khám Đa khoa Tâm Anh Quận 7
Tổng hợp các kết quả, bác sĩ Phúc chẩn đoán bà Liên mắc ung thư phổi và đã xuất hiện tổn thương thứ phát ở não. Bà tiếp tục làm các xét nghiệm chuyên sâu, được bác sĩ khoa Ung bướu xây dựng phác đồ điều trị.
Theo bác sĩ Kim Anh, ung thư phổi có thể tiến triển âm thầm trong thời gian dài mà không gây triệu chứng rõ ràng, dẫn đến phát hiện muộn, tình cờ khi khám sức khỏe. Do đó, người trưởng thành, 40 tuổi trở lên hoặc có yếu tố nguy cơ như hút thuốc lá, tiếp xúc khói thuốc, tiền sử bệnh phổi mạn tính nên duy trì khám sức khỏe định kỳ ít nhất một lần mỗi năm.
Khám sức khỏe tổng quát công nghệ cao có thể giúp phát hiện sớm ung thư cùng nhiều bệnh mạn tính như tăng huyết áp, rối loạn mỡ máu, tiểu đường, bệnh gan hay bệnh tim mạch, từ đó điều trị kịp thời, ngăn biến chứng nguy hiểm.
Nhật Thành
*Tên người bệnh đã được thay đổi
|
20h ngày 13/3, hệ thống Bệnh viện Đa khoa Tâm Anh tổ chức tư vấn trực tuyến với chủ đề “Truy tìm bệnh K, đột quỵ, bệnh tim khám sức khỏe tổng quát công nghệ cao chuyên sâu tại Tâm Anh”. Tham gia chương trình có TS.BS Trần Hải Bình, Phó trưởng khoa Khoa Ung bướu, Bệnh viện Đa khoa Tâm Anh Hà Nội; BS.CKII Nguyễn Thị Hồng Hoa, Trung tâm Tim mạch, Phòng khám Đa khoa Tâm Anh Quận 7; BS Nguyễn Phạm Cao Minh, Trung tâm Chẩn đoán hình ảnh và Điện quang can thiệp, Bệnh viện Đa khoa Tâm Anh TP HCM. Độc giả gửi câu hỏi tại đây để được tư vấn. |
Nguồn: https://vnexpress.net/ung-thu-phoi-di-can-nao-ma-khong-biet-5049876.html

